Delayed fatal intracranial hemorrhage in a pediatric patient following resection and adjuvant cranial radiotherapy for ependymoma: illustrative case
- PMID: 37158396
- PMCID: PMC10550690
- DOI: 10.3171/CASE22470
Delayed fatal intracranial hemorrhage in a pediatric patient following resection and adjuvant cranial radiotherapy for ependymoma: illustrative case
Abstract
Background: Cranial radiotherapy (CRT) is an important treatment modality for malignancies of the central nervous system. CRT has deleterious effects that are commonly classified into acute, early delayed, and late delayed. Late-delayed effects include weakening of the cerebral vasculature and the development of structurally abnormal vasculature, potentially leading to ischemic or hemorrhagic events within the brain parenchyma. Such events are not well reported in the pediatric population.
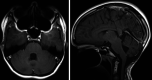
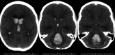
Observations: The authors present the case of a 14-year-old patient 8.2 years after CRT who experienced intracerebral hemorrhage. Autopsy demonstrated minimal pathological change without evidence of vascular malformation or aneurysm. These findings were unexpected given the degree of hemorrhage in this case. However, in the absence of other etiologies, it was believed that late-delayed radiation effect was the cause of this patient's fatal hemorrhage.
Lessons: Although not all cases of pediatric spontaneous intracerebral hemorrhage will have a determined etiology, the authors' patient's previous CRT may represent a poorly defined risk for late-delayed hemorrhage. This correlation has not been previously reported and should be considered in pediatric patients presenting with spontaneous hemorrhage in a delayed fashion after CRT. Neurosurgeons must not be dismissive of unexpected events in the remote postoperative period.
Keywords: cranial radiotherapy; death; intracerebral hemorrhage; late-delayed effects of radiotherapy; pediatric.
Conflict of interest statement
Figures
References
-
- Leibel SA, Sheline GE. Radiation therapy for neoplasms of the brain. J Neurosurg. 1987;66(1):1–22. - PubMed
-
- Murphy ES, Xie H, Merchant TE, Yu JS, Chao ST, Suh JH. Review of cranial radiotherapy-induced vasculopathy. J Neurooncol. 2015;122(3):421–429. - PubMed
-
- Passos J, Nzwalo H, Marques J, et al. Late cerebrovascular complications after radiotherapy for childhood primary central nervous system tumors. Pediatr Neurol. 2015;53(3):211–215. - PubMed
-
- Fullerton HJ, Wu YW, Zhao S, Johnston SC. Risk of stroke in children: ethnic and gender disparities. Neurology. 2003;61(2):189–194. - PubMed
LinkOut - more resources
Full Text Sources
Research Materials
