Arthroscopic Posterior Capsulolabral Repair With Suture-First Versus Anchor-First Technique in Patients With Posterior Shoulder Instability (Type B2): Clinical Midterm Follow-up
- PMID: 37168324
- PMCID: PMC10164863
- DOI: 10.1177/23259671221146167
Arthroscopic Posterior Capsulolabral Repair With Suture-First Versus Anchor-First Technique in Patients With Posterior Shoulder Instability (Type B2): Clinical Midterm Follow-up
Abstract
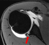
Background: Isolated soft tissue injuries of the posterior capsulolabral complex can be addressed arthroscopically, with various anchor systems available for repair.
Purpose: To evaluate clinical and patient-reported outcomes after arthroscopic capsulolabral repair in patients with posterior shoulder instability (PSI) and to compare differences in outcomes between patients treated with a suture-first technique (PushLock anchor) and an anchor-first technique (FiberTak all-suture anchor).
Study design: Cohort study; Level of evidence, 3.
Methods: Included were 32 patients with dynamic structural PSI (type B2 according to the ABC classification) treated with an arthroscopic posterior capsulolabral repair. After a mean follow-up time of 4.8 ± 3.4 years (range, 2-11) patients were evaluated clinically, and standardized outcome scores were obtained for the Subjective Shoulder Value (SSV), the Western Ontario Shoulder Instability Index (WOSI), Rowe, Kerlan-Jobe Orthopaedic Clinic (KJOC), patient satisfaction (0-5 [best]), and pain on a visual analog scale (VAS; 0-10 [worst]).
Results: The overall satisfaction level with the outcome of the surgery was 4.6 ± 0.5 (range, 4-5). No patient suffered from instability events. The mean VAS level for pain was 0.4 ± 0.9 (range, 0-4) at rest and 1.9 ± 2.0 (range, 0-6) during motion. The mean SSV was 80 ± 17 (range, 30-100), the mean postoperative WOSI score 75% ± 19% (range, 18-98), the mean Rowe score 78 ± 20 (range, 10-100), and the mean KJOC score was 81 ± 18 (range, 40-100) for the entire cohort. There was no significant difference between the techniques with regard to range of motion, strength, or clinical outcome scores.
Conclusion: Arthroscopic posterior capsulolabral repair was a satisfactory method to treat structural PSI type B2 with regard to stability, pain relief, and functional restoration. The majority of patients had good outcomes. No differences in outcomes were observed between the anchor-first and suture-first techniques.
Keywords: ABC classification; anchor-first technique; posterior capsulolabral repair; posterior shoulder instability; suture-first technique.
© The Author(s) 2023.
Conflict of interest statement
The authors declared that there are no conflicts of interest in the authorship and publication of this contribution. AOSSM checks author disclosures against the Open Payments Database (OPD). AOSSM has not conducted an independent investigation on the OPD and disclaims any liability or responsibility relating thereto.
Figures





References
-
- Abballe VD, Walter WR, Lin DJ, Alaia MJ, Alaia EF. Anterior shoulder instability in the aging population: MRI injury pattern and management. AJR Am J Roentgenol. 2021;216(5):1300–1307. doi:10.2214/AJR.20.24011 - PubMed
-
- Aboalata M, Plath JE, Seppel G, Juretzko J, Vogt S, Imhoff AB. Results of arthroscopic Bankart repair for anterior-inferior shoulder instability at 13-year follow-up. Am J Sports Med. 2017;45(4):782–787. doi:10.1177/0363546516675145 - PubMed
-
- Alberta FG, Elattrache NS, Bissell S, et al.The development and validation of a functional assessment tool for the upper extremity in the overhead athlete. Am J Sports Med. 2010;38(5):903–911. doi:10.1177/0363546509355642 - PubMed
-
- Bahk MS, Karzel RP, Snyder SJ. Arthroscopic posterior stabilization and anterior capsular plication for recurrent posterior glenohumeral instability. Arthroscopy. 2010;26(9):1172–1180. doi:10.1016/j.arthro.2010.06.016 - PubMed
LinkOut - more resources
Full Text Sources