The Role of Ultrasound in the Diagnosis of Pulmonary Infection Caused by Intracellular, Fungal Pathogens and Mycobacteria: A Systematic Review
- PMID: 37175003
- PMCID: PMC10177819
- DOI: 10.3390/diagnostics13091612
The Role of Ultrasound in the Diagnosis of Pulmonary Infection Caused by Intracellular, Fungal Pathogens and Mycobacteria: A Systematic Review
Abstract
Background: Lung ultrasound (LUS) is a widely available technique allowing rapid bedside detection of different respiratory disorders. Its reliability in the diagnosis of community-acquired lung infection has been confirmed. However, its usefulness in identifying infections caused by specific and less common pathogens (e.g., in immunocompromised patients) is still uncertain.
Methods: This systematic review aimed to explore the most common LUS patterns in infections caused by intracellular, fungal pathogens or mycobacteria.
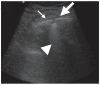
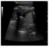
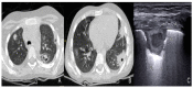
Results: We included 17 studies, reporting a total of 274 patients with M. pneumoniae, 30 with fungal infection and 213 with pulmonary tuberculosis (TB). Most of the studies on M. pneumoniae in children found a specific LUS pattern, mainly consolidated areas associated with diffuse B lines. The typical LUS pattern in TB consisted of consolidation and small subpleural nodes. Only one study on fungal disease reported LUS specific patterns (e.g., indicating "halo sign" or "reverse halo sign").
Conclusions: Considering the preliminary data, LUS appears to be a promising point-of-care tool, showing patterns of atypical pneumonia and TB which seem different from patterns characterizing common bacterial infection. The role of LUS in the diagnosis of fungal disease is still at an early stage of exploration. Large trials to investigate sonography in these lung infections are granted.
Keywords: lung ultrasound; pneumonia; pulmonary infection.
Conflict of interest statement
The authors declare no conflict of interest.
Figures
References
-
- Chavez M.A., Shams N., Ellington L.E., Naithani N., Gilman R.H., Steinhoff M.C., Santosham M., Black R.E., Price C., Gross M., et al. Lung ultrasound for the diagnosis of pneumonia in adults: A systematic review and meta-analysis. Respir. Res. 2014;15:50. doi: 10.1186/1465-9921-15-50. - DOI - PMC - PubMed
Publication types
LinkOut - more resources
Full Text Sources
