Technical Basics and Clinical Benefits of Photon-Counting CT
- PMID: 37185302
- PMCID: PMC10259209
- DOI: 10.1097/RLI.0000000000000980
Technical Basics and Clinical Benefits of Photon-Counting CT
Abstract
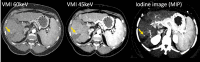
Novel photon-counting detector CT (PCD-CT) has the potential to address the limitations of previous CT systems, such as insufficient spatial resolution, limited accuracy in detecting small low-contrast structures, or missing routine availability of spectral information. In this review article, we explain the basic principles and potential clinical benefits of PCD-CT, with a focus on recent literature that has grown rapidly since the commercial introduction of a clinically approved PCD-CT.
Copyright © 2023 The Author(s). Published by Wolters Kluwer Health, Inc.
Conflict of interest statement
Conflicts of interest and sources of funding: Thomas Flohr and Bernhard Schmidt are employees of Siemens Healthcare GmbH.
Figures











References
-
- Andreini D Mushtaq S Pontone G, et al. . CT perfusion versus coronary CT angiography in patients with suspected in-stent restenosis or CAD progression. JACC Cardiovasc Imaging. 2020;13:732–742. - PubMed
-
- Taguchi K. Energy-sensitive photon counting detector-based x-ray, computed tomography. Radiol Phys Technol. 2017;10:8–22. - PubMed
-
- Willemink MJ Persson M Pourmorteza A, et al. . Photon-counting CT: technical principles and clinical prospects. Radiology. 2018;289:293–312. - PubMed