Skip to main page content
U.S. flag

An official website of the United States government

Dot gov

The .gov means it’s official.
Federal government websites often end in .gov or .mil. Before sharing sensitive information, make sure you’re on a federal government site.

Https

The site is secure.
The https:// ensures that you are connecting to the official website and that any information you provide is encrypted and transmitted securely.

Access keys NCBI Homepage MyNCBI Homepage Main Content Main Navigation
Case Reports
. 2023 Apr 12;15(4):e37482.
doi: 10.7759/cureus.37482. eCollection 2023 Apr.

Diagnostic and Therapeutic Challenges of Concurrent Intracranial Hemorrhage and Cerebral Venous Thrombosis in a Patient With Acute Lymphoblastic Leukemia: A Case Report and Literature Review

Affiliations
Case Reports

Diagnostic and Therapeutic Challenges of Concurrent Intracranial Hemorrhage and Cerebral Venous Thrombosis in a Patient With Acute Lymphoblastic Leukemia: A Case Report and Literature Review

Beatrice E Torere et al. Cureus. .

Abstract

Cerebral venous sinus thrombosis (CVST) is a cerebrovascular condition due to the thrombosis of cerebral venous sinuses, leading to intracranial hemorrhage, increased intracranial pressure, focal deficit, seizure, toxic edema, encephalopathy, and death. The diagnosis and therapeutic approach of CVST remain challenging because of its highly nonspecific clinical presentation including headaches, seizures, focal neurologic deficits, and altered mental status, etc. Anticoagulation is the mainstay of CVST treatment and should be started as soon as the diagnosis is confirmed. Here, we present the case of a 34-year-old male construction worker who presented to the emergency department with a complaint of right chest wall pain and swelling. He was admitted to the hospital following a diagnosis of anterior chest wall abscess and mediastinitis. During hospitalization, his complete blood count revealed pancytopenia with blast cells, and bone marrow biopsy revealed 78.5% lymphoid blasts by aspirate differential count and hypercellular marrow (100%) with decreased hematopoiesis. He developed concurrent CVST and intracranial hemorrhage while receiving CALGB10403 (vincristine, daunorubicin, pegaspargase, prednisone) with intrathecal cytarabine induction chemotherapy for acute lymphoblastic leukemia (ALL). The patient failed two standard chemotherapy for ALL and achieved remission while on third-line chemotherapy with an anti-CD19 monoclonal antibody, blinatumomab. Although this patient had an MRI scan of the brain with multiple follow-up non-contrast CT scans, it was CT angiography that revealed CVST. This showed the diagnostic challenge in CVST, with CT and MRI venography having excellent sensitivity in diagnosing CVST. Risk factors for CVST in our patient were ALL and its intensive induction chemotherapy with pegaspargase.

Keywords: acute lymphoblastic leukemia (all); cerebral venous sinus thrombosis (cvst); cerebral venous thrombosis; concurrent intracranial hemorrhage; intracranial hemorrhage.

PubMed Disclaimer

Conflict of interest statement

The authors have declared that no competing interests exist.

Figures

Figure 1
Figure 1. Computed tomography of the chest (coronal view).
The red arrow indicates anterior chest wall with developing abscess and mediastinitis.
Figure 2
Figure 2. Computed tomography of the chest axial view reveals soft tissue swelling involving the right pectoralis muscle group extending into the anterior mediastinum, suggestive of a developing abscess with mediastinitis (red arrow).
Figure 3
Figure 3. Computed tomography of the head (axial view).
Left frontoparietal intraparenchymal hematoma measuring 37 mm × 57 mm.
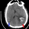
Figure 4
Figure 4. Computed tomography of the head (axial view).
The blue arrow shows the right parietal lobe intraparenchymal hematoma, and the red arrow shows the left frontoparietal intraparenchymal hematoma.
Figure 5
Figure 5. Computed tomography angiography of the head (sagittal view).
The blue arrow shows superior sagittal sinus thrombosis.
Figure 6
Figure 6. Computed tomography angiography of the head (axial view).
The red arrow shows superior sagittal sinus thrombosis, and the blue arrow shows decreasing vessel patency.

References

    1. Diagnosis and management of cerebral venous thrombosis: a statement for healthcare professionals from the American Heart Association/American Stroke Association. Saposnik G, Barinagarrementeria F, Brown RD Jr, et al. Stroke. 2011;42:1158–1192. - PubMed
    1. Clinical profile and outcome of cerebral venous sinus thrombosis at tertiary care center. Patil VC, Choraria K, Desai N, Agrawal S. J Neurosci Rural Pract. 2014;5:218–224. - PMC - PubMed
    1. Prognosis of cerebral vein and dural sinus thrombosis: results of the International Study on Cerebral Vein and Dural Sinus Thrombosis (ISCVT) Ferro JM, Canhão P, Stam J, Bousser MG, Barinagarrementeria F. Stroke. 2004;35:664–670. - PubMed
    1. Cerebral venous and sinus thrombosis in women. Coutinho JM, Ferro JM, Canhão P, Barinagarrementeria F, Cantú C, Bousser MG, Stam J. Stroke. 2009;40:2356–2361. - PubMed
    1. Treatment of the superior sagittal sinus and transverse sinus thrombosis associated with intracranial hemorrhage with the mechanical thrombectomy and thrombolytics: case report. Liu Y, Li K, Huang Y, Sun J, Gao X. Medicine (Baltimore) 2017;96:0. - PMC - PubMed

Publication types

LinkOut - more resources