Invasive Cutaneous Candidiasis, Autoimmune Hemolytic Anemia and Pancytopenia: A Challenging Scenario for Waldenström Macroglobulinemia in an Elderly Patient
- PMID: 37189625
- PMCID: PMC10135538
- DOI: 10.3390/biomedicines11041007
Invasive Cutaneous Candidiasis, Autoimmune Hemolytic Anemia and Pancytopenia: A Challenging Scenario for Waldenström Macroglobulinemia in an Elderly Patient
Abstract
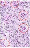
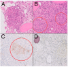
Waldenström macroglobulinemia (WM) is a slowly progressive hematologic malignancy that usually responds rapidly to treatment. Being a lymphoplasmacytoid neoplasm, it is associated with a monoclonal IgM component, which may be associated with multiple manifestations and symptoms. We report the case of a 77-year-old woman diagnosed with WM following the development of severe and sudden pancytopenia associated with a cold agglutinin syndrome. In order to treat the WM and the underlying hemolysis, treatment with rituximab, corticosteroids and cyclophosphamide was started. Despite the improvement in hemolysis parameters, pancytopenia persisted, and we started a second line with ibrutinib. During treatment the patient developed an uncommon invasive fungal infection (IFI) with bone marrow granulomatosis and myelofibrosis. This case shows an unusual clinical course with a poor hematopoietic response to treatment and a large number of intercurrent complications.
Keywords: Waldenström macroglobulinemia; case report; granulomatosis; invasive candidiasis.
Conflict of interest statement
The authors declare no conflict of interest.
Figures




References
-
- Owen R.G., Treon S.P., Al-Katib A., Fonseca R., Greipp P.R., McMaster M.L., Dimopoulos M.A. Clinicopathological definition of Waldenstrom’s macroglobulinemia: Consensus panel recommendations from the Second International Workshop on Waldenstrom’s Macroglobulinemia. Semin Oncol. 2003;30:110–115. - PubMed
-
- Castillo J.J., Olszewski A.J., Kanan S., Meid K., Hunter Z.R., Treon S.P. Overall survival and competing risks of death in patients with Waldenström macroglobulinaemia: An analysis of the Surveillance, Epidemiology and End Results database. Br. J. Haematol. 2015;169:81–89. - PubMed
-
- Kastritis E., Morel P., Duhamel A., Gavriatopoulou M., Kyrtsonis M.C., Durot E., Symeonidis A., Laribi K., Hatjiharissi E., Ysebaert L., et al. A revised international prognostic score system for Waldenström’s macroglobulinemia. Leukemia. 2019;33:2654–2661. - PubMed
Publication types
LinkOut - more resources
Full Text Sources