Skip to main page content
U.S. flag

An official website of the United States government

Dot gov

The .gov means it’s official.
Federal government websites often end in .gov or .mil. Before sharing sensitive information, make sure you’re on a federal government site.

Https

The site is secure.
The https:// ensures that you are connecting to the official website and that any information you provide is encrypted and transmitted securely.

Access keys NCBI Homepage MyNCBI Homepage Main Content Main Navigation
Case Reports
. 2023 Apr 13;15(4):e37530.
doi: 10.7759/cureus.37530. eCollection 2023 Apr.

Hypopituitarism Presenting as Recurrent Episodes of Hypoglycemia: Houssay Phenomenon

Affiliations
Case Reports

Hypopituitarism Presenting as Recurrent Episodes of Hypoglycemia: Houssay Phenomenon

Tehlil Rizwan et al. Cureus. .

Abstract

Hypopituitarism, a rare disorder, is defined as decreased production and secretion of one or more of the hormones that are normally secreted by the pituitary gland, resulting from the diseases of the pituitary gland itself or the hypothalamus. The clinical manifestations of this disorder are usually nonspecific and can lead to life-threatening complications and mortality. Here, we present a case of a 66-year-old female patient who was brought to the ER by her family with concerns of altered mentation. The altered mentation was found to be secondary to a severe hypoglycemic episode, which was later discovered to be due to underlying panhypopituitarism with secondary adrenal insufficiency. Endocrinology was consulted and recommended assessment of the hypothalamic-pituitary axis. The tests revealed low levels of serum insulin and C-peptide along with decreased levels of luteinizing hormone (LH), follicle-stimulating hormone (FSH), prolactin, cortisol, free thyroxine (T4), and adrenocorticotropic hormone (ACTH). She was started on intravenous hydrocortisone and levothyroxine, which were later switched to oral hydrocortisone and levothyroxine after the stabilization of her blood glucose levels. She was later advised to follow up with endocrinology upon discharge. While evaluating a patient with hypoglycemia, it is important to keep hypopituitarism causing secondary adrenal insufficiency in mind as a differential diagnosis because it can be life-threatening if not recognized early and treated in a timely manner.

Keywords: endocrine emergency; hypopituitarism; rare cause of altered mental status; recurrent hypoglycemia; secondary adrenal insufficiency.

PubMed Disclaimer

Conflict of interest statement

The authors have declared that no competing interests exist.

Figures

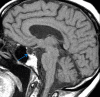
Figure 1
Figure 1. MRI showing empty sella.

References

    1. Prevalence and incidence of hypopituitarism in an adult Caucasian population in northwestern Spain. Regal M, Páramo C, Sierra SM, Garcia-Mayor RV. Clin Endocrinol (Oxf) 2001;55:735–740. - PubMed
    1. Hypopituitarism epidemiology. [ Mar; 2023 ]. 2019. https://www.news-medical.net/health/Hypopituitarism-Epidemiology.aspx https://www.news-medical.net/health/Hypopituitarism-Epidemiology.aspx
    1. Etiology of hypopituitarism in tertiary care institutions in Turkish population: analysis of 773 patients from Pituitary Study Group database. Tanriverdi F, Dokmetas HS, Kebapcı N, et al. Endocrine. 2014;47:198–205. - PubMed
    1. Hypopituitarism. Schneider HJ, Aimaretti G, Kreitschmann-Andermahr I, Stalla GK, Ghigo E. Lancet. 2007;28:1461–1470. - PubMed
    1. Hypoglycemia and diabetes: a report of a workgroup of the American Diabetes Association and the Endocrine Society. Seaquist ER, Anderson J, Childs B, et al. J Clin Endocrinol Metab. 2013;98:1845–1859. - PubMed

Publication types

LinkOut - more resources