A unique case of inverted Meckel's diverticulum presented as an adult intussusception: a case report
- PMID: 37220592
- PMCID: PMC10200354
- DOI: 10.1093/jscr/rjad288
A unique case of inverted Meckel's diverticulum presented as an adult intussusception: a case report
Abstract
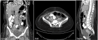
Although Meckel's diverticulum (MD) is a relatively common asymptomatic gastrointestinal anomaly, an inverted MD is a rare entity that is challenging to diagnose prior to surgery and presents usually in the pediatric population with bleeding, anemia and abdominal pain. The most frequent adult presentation in non-inverted MD is intestinal obstruction, whereas bleeding and anemia are the most typical presenting complaints in inverted MD. Here, we report our experience with an adult female patient, who presented with 5 days duration of abdominal pain, nausea and vomiting. Imaging revealed signs of small bowel obstruction with bowel wall thickening in the terminal ileum and a double target appearance. This case describes a rare cause of adult intestinal intussusception because of inverted MD, which was successfully managed with surgery. The final pathology report confirms the diagnosis.
Keywords: Meckel diverticulum; intussusception; small bowel obstruction.
Published by Oxford University Press and JSCR Publishing Ltd. © The Author(s) 2023.
Conflict of interest statement
None declared.
Figures
References
-
- Opitz JM, Schultka R, Göbbel L. Meckel on developmental pathology. Am J Med Genet 2006;140A:115–28. - PubMed
-
- Spangler H, Fisher J. The rule of two’s didn’t work: Meckel’s diverticulum with hemorrhagic shock in an adolescent. Am J Emerg Med 2020;38:1541.e1–2. - PubMed
-
- Karahasanoglu T, Memisoglu K, Korman U, Tunckale A, Curgunlu A, Karter Y. Adult intussusception due to inverted Meckel’s diverticulum: laparoscopic approach. Surg Laparosc Endosc Percutan Tech 2003;13:39–41. - PubMed
Publication types
LinkOut - more resources
Full Text Sources
