Causes of fetal death in the Flemish cattle herd in Brazil
- PMID: 37235167
- PMCID: PMC10206958
- DOI: 10.14202/vetworld.2023.766-772
Causes of fetal death in the Flemish cattle herd in Brazil
Abstract
Background and aim: Flemish cattle in Brazil are on the brink of extinction and are found only in one herd in Lages, Santa Catarina State. This study aimed to uncover the reasons for the recurring abortions in the Flemish cattle herd.
Materials and methods: Seventeen Flemish fetuses underwent postmortem examinations, with samples collected for histopathology and microbiology culture tests, polymerase chain reaction (PCR) test for Neospora caninum, and reverse transcription-PCR (RT-PCR) test for bovine viral diarrhea virus (BVDV) from 2015 to 2020.
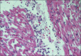
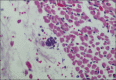
Results: Of the 17 fetuses, N. caninum was the most common diagnosis and was found in 88% (15/17). One fetus (5.8%) had a coinfection with N. caninum and Citrobacter amalonaticus, leading to fibrinonecrotic pericarditis. All fetuses tested negative for BVDV by RT-PCR. Of the 107 dams tested by indirect immunofluorescence assay, 26 (25.2%) were anti-N. caninum seropositive, with 17 (65.4%) aborting and 5 (19.2%) having estrus repetition. Reverse transcription-PCR results showed that 9 (8.4%) of the serum samples collected from dams tested positive, which tested follow-up test 3 months later, indicating a BVDV transient infection. The factors that contributed to neosporosis included dogs' access to pastures and improper disposal of fetal remains, which made it easier for dogs to consume them.
Conclusion: This study warns the occurrence of N. caninum as a cause of reproductive disorders that can lead to abortion in the studied Flemish cattle herd.
Keywords: abortion; endangered breeds; pathology; protozoan; reproductive disorders.
Copyright: © Marian, et al.
Conflict of interest statement
The authors declare that they have no competing interests.
Figures




References
-
- Brazilian Institute of Geography and Statistics. Population Estimates 2020. Rio de Janeiro, Brazil: Brazilian Institute of Geography and Statistics; 2020.
-
- Antoniassi N.A.B, Juffo G.D, Santos S.A, Pescador A.C, Corbellini L.G, Driemeier D. Causes of bovine abortion treated by the Sector of Veterinary Pathology of the Federal University of Rio Grande do Sul in the years 2003–2011 [Causas de aborto bovino diagnosticadas no setor de patologia veterinária da UFRGS de 2003 a 2011] Pesq. Vet. Bras. 2013;33(2):155–160.
-
- Flores E.F, Cargnelutti J.F, Monteiro F.L, Bauermann F.V, Ridpath J.F, Weiblen R. A genetic profile of bovine pestiviruses circulating in Brazil (1998–2018) Anim. Health Res. Ver. 2018;19(2):134–141. - PubMed
-
- Fávero J.F, De Araújo H.L, Lilenbaum W, Machado G, Tonin A.A, Baldissera M.D, Da Silva A.S. Bovine leptospirosis:Prevalence, associated risk factors for infection and its cause-effect relationship. Microb. Pathog. 2017;107:149–154. - PubMed
-
- Da Costa L.S, Withoeft J.A, Bilicki J.V, Melo I.C, Snak A, Neves G.B.D, Miletti L.C, de Moura A.B, Casagrande R.A. Neospora caninum-associated abortions in cattle from Southern Brazil:Anatomopathological and molecular characterization. Vet. Parasitol. Reg. Stud. Rep. 2022;36:100802. - PubMed
LinkOut - more resources
Full Text Sources