Unusual presentation of a vascularized iris lesion in an infant
- PMID: 37252160
- PMCID: PMC10220440
- DOI: 10.4103/tjo.tjo_35_21
Unusual presentation of a vascularized iris lesion in an infant
Abstract
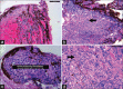
We report an unusual presentation of a 10-month-old girl with left eye (LE) redness and watering. Evaluation showed an iris vascular lesion and lens opacity in her LE. Child underwent USG B-scan and ultrasound biomicroscopy, by which an extensive mass lesion arising from iris and ciliary body with absent calcification was revealed. Following extensive evaluation, child underwent cataract extraction and trans-scleral total excision of the mass lesion. Histopathology proved it as juvenile xanthogranuloma (JXG) with vascular proliferation. JXG is a rare benign self-limiting dermatologic disorder affecting mainly infants and small children. Ocular lesions are the most common extracutaneous manifestation. Cataract in JXG is less frequently reported. This case is reported due to its rarity and as it presented solely as an intraocular lesion with combined diffuse infiltration into ciliary body and cataract which is unusual. Early recognition and systematic approach helped in sight saving and organ salvaging.
Keywords: Cataract; diffuse infiltration of iris and ciliary body; histiocytosis; juvenile xanthogranuloma; vascular iris lesion in children.
Copyright: © 2021 Taiwan Journal of Ophthalmology.
Conflict of interest statement
There are no conflicts of interest.
Figures




References
-
- Blank H, Eglick PG, Beerman H. Nevoxantho-endothe- lioma with ocular involvement. Pediatrics. 1949;4:349–54. - PubMed
-
- Samara WA, Khoo CT, Say EA, Saktanasate J, Eagle RC, Jr., Shields JA, et al. Juvenile xanthogranuloma involving the eye and ocular adnexa: Tumor control, visual outcomes, and globe salvage in 30 patients. Ophthalmology. 2015;122:2130–8. - PubMed
-
- Ashkenazy N, Henry CR, Abbey AM, McKeown CA, Berrocal AM, Murray TG. Successful treatment of juvenile xanthogranuloma using bevacizumab. J AAPOS. 2014;18:295–7. - PubMed
-
- Shields CL, Kancherla S, Patel J, Vijayvargiya P, Suriano MM, Kolbus E, et al. Clinical survey of 3680 iris tumors based on patient age at presentation. Ophthalmology. 2012;119:407–14. - PubMed
Publication types
LinkOut - more resources
Full Text Sources