Pancreatic metastasis from lung adenocarcinoma
- PMID: 37261050
- PMCID: PMC10227741
- DOI: 10.1002/jgf2.612
Pancreatic metastasis from lung adenocarcinoma
Abstract
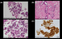
TTF-1 is a highly useful marker to assist in differentiating between pulmonary and nonpulmonary, nonthyroid adenocarcinomas. Our case shows that TTF-1 is highly useful in differentiating between pancreatic metastasis from lung adenocarcinoma and primary pancreatic cancer, especially when the clinical course and imaging findings are not helpful for differentiating them.
Keywords: gastrointestinal medicine; internal medicine; respiratory disease.
© 2023 The Authors. Journal of General and Family Medicine published by John Wiley & Sons Australia, Ltd on behalf of Japan Primary Care Association.
Conflict of interest statement
The authors have stated explicitly that there are no conflicts of interest in connection with this article.
Figures


References
-
- Sweeney AD, Wu MF, Hilsenbeck SG, Brunicardi FC, Fisher WE. Value of pancreatic resection for cancer metastatic to the pancreas. J Surg Res. 2009;156(2):189–98. - PubMed
-
- Suzuki A, Shijubo N, Yamada G, Ichimiya S, Satoh M, Abe S, et al. Napsin A is useful to distinguish primary lung adenocarcinoma from adenocarcinomas of other organs. Pathol Res Pract. 2005;201(8–9):579–86. - PubMed
-
- Ordonez NG. Value of thyroid transcription factor‐1 immunostaining in tumor diagnosis: a review and update. Appl Immunohistochem Mol Morphol. 2012;20(5):429–44. - PubMed