Iatrogenic Kaposi's sarcoma from induction therapy for myeloma: to transplant or not to transplant?
- PMID: 37263679
- PMCID: PMC10255255
- DOI: 10.1136/bcr-2022-251044
Iatrogenic Kaposi's sarcoma from induction therapy for myeloma: to transplant or not to transplant?
Abstract
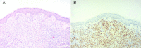
We present the case of an HIV-negative man in his 50s who developed a generalised nodular rash while having first-line bortezomib-cyclophosphamide-dexamethasone chemotherapy for multiple myeloma. The rash was biopsied and proven to be Kaposi's sarcoma. The patient's treatment was interrupted at the sixth cycle of chemotherapy, by which time the rash had also spread to the oral mucosa and eyelid. The rash regressed spontaneously on stopping treatment. We were reluctant to restart myeloma treatment, but on the other hand, we wished to consolidate the very good partial response achieved. An autologous marrow transplant was done months later without any recurrence of his Kaposi's with the initiation of bortezomib maintenance. Bortezomib has putative activity against Kaposi's. The patient could benefit from imid-based (thalidomide, lenalidomide, pomalidomide) combination chemotherapy once his myeloma progresses or if there is a recurrence of Kaposi's sarcoma.
Keywords: haematology (incl blood transfusion); malignant disease and immunosuppression; oncology.
© BMJ Publishing Group Limited 2023. No commercial re-use. See rights and permissions. Published by BMJ.
Conflict of interest statement
Competing interests: None declared.
Figures


References
-
- Kaposi M. Idiopathisches multiples Pigmentsarkomen der Haut. Arch f Dermat 1872;4:265–73. 10.1007/BF01830024 - DOI
-
- Cesaro S, Tridello G, van der Werf S, et al. . Incidence and outcome of Kaposi sarcoma after hematopoietic stem cell transplantation: a retrospective analysis and a review of the literature, on behalf of infectious diseases working party of EBMT. Bone Marrow Transplant 2020;55:110–6. 10.1038/s41409-019-0644-8 - DOI - PubMed
-
- Malnati MS, Dagna L, Ponzoni M, et al. . Human herpesvirus 8 (HHV-8/KSHV) and hematologic malignancies. Rev Clin Exp Hematol 2003;7:375–405. - PubMed
-
- Sadeghian MH, Mohammadnia Avval M, Ayatollahi H, et al. . Is there any relationship between human herpesvirus-8 and multiple myeloma Lymphoma 2013;2013:1–5. 10.1155/2013/123297 - DOI
Publication types
MeSH terms
Substances
LinkOut - more resources
Full Text Sources
Medical