A Phenomenal Binomaly: 2 Rare Diseases Presenting With Electrical Storm
- PMID: 37283828
- PMCID: PMC10240273
- DOI: 10.1016/j.jaccas.2023.101855
A Phenomenal Binomaly: 2 Rare Diseases Presenting With Electrical Storm
Abstract
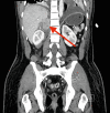
A previously well 34-year-old man presents with electrical storm after performing headstands. A step-by-step review of clinical information and case development is presented with discussion. Ultimately, 2 rare diagnoses are discovered and their potential contribution to a cascade of complications resulting in ventricular arrhythmia are discussed. (Level of Difficulty: Intermediate.).
Keywords: congenital heart disease; pheochromocytoma; ventricular tachycardia.
© 2023 The Authors.
Conflict of interest statement
The authors have reported that they have no relationships relevant to the contents of this paper to disclose.
Figures
References
-
- Cheezum M.K., Liberthson R.R., Shah N.R., et al. Anomalous aortic origin of a coronary artery from the inappropriate sinus of Valsalva. J Am Coll Cardiol. 2017;69(12):1592–1608. - PubMed
-
- Stout K.K., Daniels C.J., Aboulhosn J.A., et al. 2018 AHA/ACC guideline for the management of adults with congenital heart disease: a report of the American College of Cardiology/American Heart Association Task Force on Clinical Practice Guidelines. J Am Coll Cardiol. 2019;73(12):e81–e192. - PubMed
-
- Young W. Clinical presentation and diagnosis of pheochromocytoma. In: Post TW, ed. UpToDate, Waltham, MA. Accessed July 28, 2021. https://www.uptodate.com/contents/clinical-presentation-and-diagnosis-of...
-
- Zipes D.P., Libby P., Bonow R.O., Mann D.L., Tomaselli G.F., editors. founding editor and online editor Eugene Braunwald. Braunwald's Heart Disease: A Textbook of Cardiovascular Medicine. Elsevier/Saunders; 2019.
Publication types
LinkOut - more resources
Full Text Sources
