Skip to main page content
U.S. flag

An official website of the United States government

Dot gov

The .gov means it’s official.
Federal government websites often end in .gov or .mil. Before sharing sensitive information, make sure you’re on a federal government site.

Https

The site is secure.
The https:// ensures that you are connecting to the official website and that any information you provide is encrypted and transmitted securely.

Access keys NCBI Homepage MyNCBI Homepage Main Content Main Navigation
. 2023 Jun 3;5(Suppl 1):i13-i25.
doi: 10.1093/noajnl/vdac107. eCollection 2023 May.

Meningioma in the elderly

Affiliations

Meningioma in the elderly

Michael Amoo et al. Neurooncol Adv. .

Abstract

Meningiomas are the most common primary intracranial neoplasm, accounting for approximately 40% of all primary brain tumors. The incidence of meningioma increases with age to 50 per 100,000 in patients older than 85. As the population ages, an increasing proportion of meningioma patients are elderly. Much of this increase is accounted for by an increase in incidental, asymptomatic diagnoses, which have a low risk of progression in the elderly. The first-line treatment of symptomatic disease is resection. Fractionated radiotherapy (RT) or stereotactic radiosurgery (SRS) can be considered as primary treatment where surgery is not feasible, or as adjuvant therapy in cases of subtotal resection or high grade histopathology. The role of RT/SRS, particularly following gross total resection of atypical meningioma, is unclear and requires further evaluation. There is an increased risk of perioperative and postoperative morbidity in the elderly and therefore management decisions must be tailored to individual circumstances. Good functional outcomes can be achieved in selected patients and age alone is not a contraindication to intervention. The immediate postoperative course is an important determinant of prognosis. Therefore, careful preoperative evaluation and avoidance of complications are necessary to optimize outcomes.

Keywords: elderly; geriatric; meningioma; radiotherapy; surgery.

PubMed Disclaimer

Figures

Figure 1.
Figure 1.
Incidence of benign and malignant meningioma with age, using data from the Central Brain Tumor Registry of the United States: (a) the incidence throughout the lifespan, using data published by Ostrom et al.; (b) the incidence in elderly patients over 65, using data published by Achey et al.
Figure 2.
Figure 2.
Incidence of meningioma in the elderly, stratified by sex. Data originates from the Central Brain Tumor Registry of the United States from years 2005–2015, published by Achey et al.: (a) the incidence of nonmalignant meningioma; (b)the incidence of malignant meningioma.
Figure 3.
Figure 3.
Incidence of radiographically and tissue-diagnosed meningiomas using data originating from the Surveillance, Epidemiology and End Results 18 (SEER 18) dataset, published by Withrow et al. covering years 2004–2017: (a) the incidence of meningiomas over time stratified by diagnostic modality; (b)the incidence of meningiomas throughout the lifespan stratified by diagnostic modality; (c) the incidence of meningioma in patients older than and younger than 65, stratified by size and diagnostic modality.
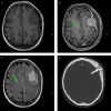
Figure 4.
Figure 4.
Magnetic resonance imaging demonstrating a T1 isointense (a), contrast enhancing (b) dural-based lesion with a dural tail (red arrow). It is hyperintense on T2 FLAIR sequence (c). In addition, a T2 hyperintensity (green arrow) evidencing a lacune is seen in the right hemisphere (b, c), which is reflective of the common scenario of elderly patients with meningioma and comorbid cerebrovascular disease. Bone window of CT scan (d) demonstrates hyperostosis (white arrow) and osseous infiltration. These radiological features are characteristic of meningiomas.

References

    1. Ostrom QT, Patil N, Cioffi G, et al. . CBTRUS statistical report: primary brain and other central nervous system tumors diagnosed in the United States in 2013-2017. Neuro Oncol. 2020;22(Supplement_1):IV1–IV96. - PMC - PubMed
    1. Cea-Soriano L, Wallander MA, Garca Rodrguez LA. Epidemiology of meningioma in the United Kingdom. Neuroepidemiology 2012;39(1):27–34. - PubMed
    1. Dolecek TA, Dressler EVM, Thakkar JP, et al. . Epidemiology of meningiomas post-Public Law 107-206: The Benign Brain Tumor Cancer Registries Amendment Act. Cancer 2015;121(14):2400–2410. - PMC - PubMed
    1. Withrow DR, Devesa SS, Deapen D, et al. . Nonmalignant meningioma and vestibular schwannoma incidence trends in the United States, 2004-2017. Cancer 2021;127(19):3579–3590. - PMC - PubMed
    1. Achey RL, Gittleman H, Schroer J, et al. . Nonmalignant and malignant meningioma incidence and survival in the elderly, 2005-2015, using the Central Brain Tumor Registry of the United States. Neuro-Oncology 2019;21(3):380–391. - PMC - PubMed

LinkOut - more resources