Basal Cell Carcinoma of the Prostate Misdiagnosed as High-Grade Urothelial Cancer - A Case Report of a Diagnostic Pitfall
- PMID: 37324807
- PMCID: PMC10263023
- DOI: 10.2147/RRU.S391558
Basal Cell Carcinoma of the Prostate Misdiagnosed as High-Grade Urothelial Cancer - A Case Report of a Diagnostic Pitfall
Abstract
Purpose: Basal cell carcinoma of the prostate is rare. Usually, it is diagnosed in elderly men with nocturia, urgency, lower urinary tract obstruction and normal PSA.
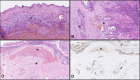
Case presentation: We report on a case of a 56-years-old patient who presented at the emergency ward with weight loss, nausea and vomiting. The diagnostic evaluation showed acute renal failure due to a bladder tumor. After admission to the urology ward and subsequent contrast-enhanced CT urography and contrast-enhanced chest CT, a non-metastatic bladder tumor that infiltrated the right side of the bladder and seminal vesicles was found. High-grade muscle-invasive urothelial carcinoma was diagnosed from TURBT specimens, followed by radical cystoprostatectomy with pelvic lymphadenectomy and formation of ureterocutaneostomy sec. Bricker. The histopathological examination of the resection specimen surprisingly revealed the presence of prostatic basal cell carcinoma pT4N0M0 and not urothelial cancer. Due to renal failure, the patient required hemodialysis. The recommendation of the multidisciplinary oncological meeting was to follow up with the patient by the surgeon-urologist. On imaging six months after surgery, it was suspicious for recurrence. Patient was considered for adjuvant oncological treatment.
Conclusion: Although rare, basal cell carcinoma of the prostate should be considered in patients with lower urinary tract symptoms, hematuria and normal PSA. Transurethral resection of bladder tumor is indicated in patients presenting with hematuria and bladder tumor. In evaluation of such cases rare histological types should be included in the differential diagnosis.
Keywords: basal cell carcinoma of the prostate; bladder tumor; cystoprostatectomy; prostate cancer; renal failure; transurethral resection of bladder tumor.
© 2023 Taskovska et al.
Conflict of interest statement
The authors report no conflicts of interest in this work.
Figures
References
Publication types
LinkOut - more resources
Full Text Sources
Research Materials
Miscellaneous
