Impact of vessel tortuosity and radiological thrombus characteristics on the choice of first-line thrombectomy strategy: Results from the ESCAPE-NA1 trial
- PMID: 37345551
- PMCID: PMC10472967
- DOI: 10.1177/23969873231183766
Impact of vessel tortuosity and radiological thrombus characteristics on the choice of first-line thrombectomy strategy: Results from the ESCAPE-NA1 trial
Abstract
Introduction: Despite improvements in device technology, only one-third of stroke patients undergoing endovascular thrombectomy (EVT) achieve first-pass effect (FPE). We investigated the effect of arterial tortuosity and thrombus characteristics on the relationship between first-line EVT strategy and angiographic outcomes.
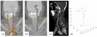
Patients and methods: Patients with thin-slice baseline CT-angiography from the ESCAPE-NA1 trial (Efficacy and safety of nerinetide for the treatment of acute ischemic stroke) were included. Tortuosity was estimated using the tortuosity index extracted from catheter pathway, and radiological thrombus characteristics were length, non-contrast density, perviousness and hyperdense artery sign. We assessed the association of first-line EVT strategy (stent-retriever [SR] versus contact aspiration [CA] versus combined SR+CA) with FPE (eTICI score 2c/3 after one pass), final eTICI 2b/3, number of passes and procedure duration using multivariable regression. Interaction of tortuosity and thrombus characteristics with first-line technique were assessed using interaction terms.
Results: Among 520 included patients, SR as a first-line modality was used in 165 (31.7%) patients, CA in 132 (25.4%), and combined SR+CA in 223 (42.9%). FPE was observed in 166 patients (31.9%). First-line strategy was not associated with FPE. Tortuosity had a significant effect on FPE only in the CA group (aOR = 0.90 [95% CI 0.83-0.98]) compared with stent-retrievers and combined first-line approach (p interaction = 0.03). There was an interaction between thrombus length and first-line strategy for number of passes (p interaction = 0.04). Longer thrombi were associated with higher number of passes only in the CA group (acOR 1.03 [95% CI 1.00-1.06]).
Conclusion: Our study suggests that vessel tortuosity and longer thrombi may negatively affect the performance of first-line contact aspiration catheters in acute stroke patients undergoing EVT.
Keywords: Stroke; endovascular thrombectomy; ischemic; reperfusion; thrombus.
Conflict of interest statement
The author(s) declared the following potential conflicts of interest with respect to the research, authorship, and/or publication of this article: Mohammed Almekhlafi reports grants from CIHR outside the submitted work, and serving on the scientific advisory board of Palmera Medical, Inc. Michael D Hill reports grants from CIHR during the conduct of the study, grants from Medtronic, and grants from NoNO Inc. outside the submitted work. In addition, he has a patent to US Patent office Number: 62/086,077 issued and licensed, and Director, Board of Circle Neurovascular, Director, Board of the Canadian Neuroscience Federation, and Director, Board of the Canadian Stroke Consortium. Mayank Goyal reports receiving fees from Medtronic, Stryker, Microvention, GE Healthcare, and Mentice. Charles Majoie reports grants from CVON/Dutch Heart Foundation, TWIN Foundation, European Commission, Healthcare Evaluation Netherlands, and Stryker outside the submitted work (all paid to institution); and is (minority interest) shareholder of Nicolab. Bijoy K Menon reports shares in Circle NVI; patent for systems of triage in acute stroke. Other authors report no conflict of interest. Fouzi Bala, Petra Cimflova, Nishita Singh, Jianhai Zhang, Manon Kappelhof, Beom Joon Kim, Mohamed Najm, Rotem Golan, Ibukun Elebute, Faysal Benali, Nerea Arrarte Terreros, Henk Marquering, and Wu Qiu report no relevant disclosures.
Figures


References
-
- Goyal M, Menon BK, van Zwam WH, et al.. Endovascular thrombectomy after large-vessel ischaemic stroke: a meta-analysis of individual patient data from five randomised trials. Lancet 2016; 387: 1723–1731. - PubMed
-
- Zaidat OO, Castonguay AC, Linfante I, et al.. First pass effect: A new measure for stroke thrombectomy devices. Stroke 2018; 49: 660–666. - PubMed
-
- Lapergue B, Blanc R, Costalat V, et al.. Effect of thrombectomy with combined contact aspiration and stent retriever vs Stent retriever alone on revascularization in patients with acute ischemic stroke and large vessel occlusion: the ASTER2 randomized clinical trial. JAMA 2021; 326: 1158–1169. - PMC - PubMed
-
- Turk AS, 3rd, Siddiqui A, Fifi JT, et al.. Aspiration thrombectomy versus stent retriever thrombectomy as first-line approach for large vessel occlusion (COMPASS): a multicentre, randomised, open label, blinded outcome, non-inferiority trial. Lancet 2019; 393: 998–1008. - PubMed
Publication types
MeSH terms
Grants and funding
LinkOut - more resources
Full Text Sources
Medical
Research Materials