Labrune Syndrome: A Rare Leukodystrophy
- PMID: 37346205
- PMCID: PMC10280778
- DOI: 10.7759/cureus.39287
Labrune Syndrome: A Rare Leukodystrophy
Abstract
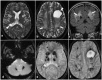
Labrune syndrome is a rare neurological disorder, with less than 100 reported cases since its identification. This disorder causes progressive cerebral degeneration. This case report describes a 21-year-old male patient who presented with tonic-clonic seizures. Upon examination, he was found to have symmetrical dense calcifications in the bilateral basal ganglia, thalami, and dentate nuclei, as well as in the white matter of both hemispheres, accompanied by cysts. MRI brain revealed confluent areas of T2/FLAIR hyperintensities involving the deep periventricular white matter in both cerebral hemispheres with sparing of subcortical U-fibres and two cysts in the left frontal and right posterior temporal region. No serologic evidence of a parasitic infection was found. Treatment was directed at addressing symptoms, and surgery was not required as the cysts were not causing a mass effect. The condition is the result of an autosomal mutation in the SNORD118 gene, a non-protein encoding gene that mediates rRNA synthesis.
Keywords: cerebral calcifications; cysts; labrune syndrome; leukodystrophy; snord118 gene mutation.
Copyright © 2023, Nair et al.
Conflict of interest statement
The authors have declared that no competing interests exist.
Figures
 
              
              
              
              
                
                
                 
              
              
              
              
                
                
                References
- 
    - Extensive brain calcifications, leukodystrophy, and formation of parenchymal cysts: a new progressive disorder due to diffuse cerebral microangiopathy. Labrune P, Lacroix C, Goutières F, et al. https://pubmed.ncbi.nlm.nih.gov/8628470/ Neurology. 1996;46:1297–1301. - PubMed
 
- 
    - Leukoencephalopathy, cerebral calcifications, and cysts: new observations. Nagae-Poetscher LM, Bibat G, Philippart M, et al. https://pubmed.ncbi.nlm.nih.gov/15079028/ Neurology. 2004;62:1206–1209. - PubMed
 
- 
    - Leukoencephalopathy with intracranial calcifications and cysts in an adult: case report and review of literature. Ummer K, Salam KA, Noone ML, Pradeep Kumar VG, Mampilly N, Sivakumar S. https://www.ncbi.nlm.nih.gov/pmc/articles/PMC3021936/ Ann Indian Acad Neurol. 2010;13:299–301. - PMC - PubMed
 
- 
    - Mutations in SNORD118 cause the cerebral microangiopathy leukoencephalopathy with calcifications and cysts. Jenkinson EM, Rodero MP, Kasher PR, et al. https://pubmed.ncbi.nlm.nih.gov/27571260/ Nat Genet. 2016;48:1185–1192. - PMC - PubMed
 
- 
    - Labrune syndrome: a unique leukoencephalopathy. Pahuja L, Patras E, Sureshbabu S, Parkhe N, Khanna L. https://www.ncbi.nlm.nih.gov/pmc/articles/PMC5341271/ Ann Indian Acad Neurol. 2017;20:59–61. - PMC - PubMed
 
Publication types
LinkOut - more resources
- Full Text Sources
