Combined Pulmonary Fibrosis and Emphysema: Comparative Evidence on a Complex Condition
- PMID: 37371731
- PMCID: PMC10296382
- DOI: 10.3390/biomedicines11061636
Combined Pulmonary Fibrosis and Emphysema: Comparative Evidence on a Complex Condition
Abstract
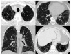
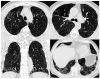
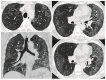
Combined pulmonary fibrosis and emphysema (CPFE) is a clinical syndrome characterized by upper lobe emphysema and lower lobe fibrosis manifested by exercise hypoxemia, normal lung volumes, and severe reduction of diffusion capacity of carbon monoxide. It has varying prevalence worldwide with a male predominance, and with smoking history of more than 40 pack-years being a common risk factor. The unique imaging features of CPFE emphasize its distinct entity, aiding in the timely detection of pulmonary hypertension and lung cancer, both of which are common complications. High-resolution computed tomography (HRCT) is an important diagnostic and prognostic tool, while lung cancer is an independent factor that alters the prognosis in CPFE patients. Treatment options for CPFE are limited, but smoking cessation, usual treatments of pulmonary fibrosis and emphysema, and avoidance of environmental exposures are encouraged.
Keywords: emphysema; interstitial lung disease; lung fibrosis; lung function; pulmonary hypertension.
Conflict of interest statement
The authors declare no conflict of interest.
Figures




References
-
- Cottin V., Nunes H., Brillet P.-Y., Delaval P., Devouassaoux G., Tillie-Leblond I., Israel-Biet D., Court-Fortune I., Valeyre D., Cordier J.-F. Combined pulmonary fibrosis and emphysema: A distinct underrecognised entity. Eur. Respir. J. 2005;26:586–593. doi: 10.1183/09031936.05.00021005. - DOI - PubMed
-
- Safiri S., Carson-Chahhoud K., Noori M., Nejadghaderi S.A., Sullman M.J.M., Heris J.A., Ansarin K., Mansournia M.A., Collins G.S., Kolahi A.-A., et al. Burden of chronic obstructive pulmonary disease and its attributable risk factors in 204 countries and territories, 1990-2019: Results from the Global Burden of Disease Study 2019. BMJ. 2022;378:e069679. doi: 10.1136/bmj-2021-069679. - DOI - PMC - PubMed
-
- Cottin V., Hansell D.M., Sverzellati N., Weycker D., Antoniou K.M., Atwood M., Oster G., Kirchgaessler K.-U., Collard H.R., Wells A.U. Effect of Emphysema Extent on Serial Lung Function in Patients with Idiopathic Pulmonary Fibrosis. Am. J. Respir. Crit. Care Med. 2017;196:1162–1171. doi: 10.1164/rccm.201612-2492OC. - DOI - PubMed
Publication types
LinkOut - more resources
Full Text Sources