Rescue therapy after thrombectomy for large vessel occlusion due to underlying atherosclerosis: review of literature
- PMID: 37396754
- PMCID: PMC10313123
- DOI: 10.3389/fneur.2023.1181295
Rescue therapy after thrombectomy for large vessel occlusion due to underlying atherosclerosis: review of literature
Abstract
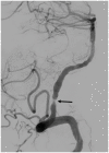
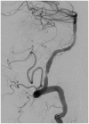
In this review article, we summarized the current advances in rescue management for reperfusion therapy of acute ischemic stroke from large vessel occlusion due to underlying intracranial atherosclerotic stenosis (ICAS). It is estimated that 24-47% of patients with acute vertebrobasilar artery occlusion have underlying ICAS and superimposed in situ thrombosis. These patients have been found to have longer procedure times, lower recanalization rates, higher rates of reocclusion and lower rates of favorable outcomes than patients with embolic occlusion. Here, we discuss the most recent literature regarding the use of glycoprotein IIb/IIIa inhibitors, angioplasty alone, or angioplasty with stenting for rescue therapy in the setting of failed recanalization or instant/imminent reocclusion during thrombectomy. We also present a case of rescue therapy post intravenous tPA and thrombectomy with intra-arterial tirofiban and balloon angioplasty followed by oral dual antiplatelet therapy in a patient with dominant vertebral artery occlusion due to ICAS. Based on the available literature data, we conclude that glycoprotein IIb/IIIa is a reasonably safe and effective rescue therapy for patients who have had a failed thrombectomy or have residual severe intracranial stenosis. Balloon angioplasty and/or stenting may be helpful as a rescue treatment for patients who have had a failed thrombectomy or are at risk of reocclusion. The effectiveness of immediate stenting for residual stenosis after successful thrombectomy is still uncertain. Rescue therapy does not appear to increase the risk of sICH. Randomized controlled trials are warranted to prove the efficacy of rescue therapy.
Keywords: balloon angioplasty; failed thrombectomy; intracranial atherosclerosis; intracranial atherosclerosis stenosis; intracranial stenosis; intracranial stenting; literature review; rescue therapy.
Copyright © 2023 Khachatryan, Shafie, Abcede, Shah, Nagamine, Granstein, Yuki, Golshani, Suzuki and Yu.
Conflict of interest statement
The authors declare that the research was conducted in the absence of any commercial or financial relationships that could be construed as a potential conflict of interest.
Figures









References
-
- Derdeyn CP, Chimowitz MI, Lynn MJ, Fiorella D, Turan TN, Janis LS, et al. . Aggressive medical treatment with or without stenting in high-risk patients with intracranial artery stenosis (SAMMPRIS): The final results of a randomised trial. Lancet. (2014) 383:333–41. doi: 10.1016/S0140-6736(13)62038-3 - DOI - PMC - PubMed