A case of adrenal myelolipoma complicated with Prader-Willi syndrome
- PMID: 37405031
- PMCID: PMC10315240
- DOI: 10.1002/iju5.12595
A case of adrenal myelolipoma complicated with Prader-Willi syndrome
Abstract
Introduction: Prader-Willi syndrome is a congenital disorder that occurs in one in 10 000-30 000 children and is characterized by obesity, short stature, and intellectual disability.
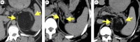
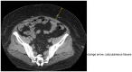
Case presentation: A 24-year-old male patient with Prader-Willi syndrome presented with an enlarged adrenal tumor. Computed tomography detected a well-defined mass. Magnetic resonance imaging revealed an increased signal intensity predominantly in fatty areas, suggesting adrenal myelolipoma. Laparoscopic left adrenalectomy was performed. Postoperatively, the patient developed mild pulmonary atelectasis, myelolipoma was confirmed by histopathology, and there was no recurrence at approximately 2 years postoperatively.
Conclusion: This is the first report of Prader-Willi syndrome complicated with adrenal myelolipoma, which was removed laparoscopically.
Keywords: Prader‐Willi syndrome; adrenal myelolipoma; intellectual disability; laparoscopic adrenalectomy; obesity.
© 2023 The Authors. IJU Case Reports published by John Wiley & Sons Australia, Ltd on behalf of Japanese Urological Association.
Conflict of interest statement
The authors declare no conflict of interest.
Figures



References
-
- Campbell MJ, Obasi M, Wu B, Corwin MT, Fananapazir G. The radiographically diagnosed adrenal myelolipoma: what do we really know? Endocrine 2017; 58: 289–94. - PubMed
Publication types
LinkOut - more resources
Full Text Sources