Arterio-Ureteral Fistula: A Rare Elusive Cause of Significant Hematuria
- PMID: 37416044
- PMCID: PMC10321569
- DOI: 10.7759/cureus.39989
Arterio-Ureteral Fistula: A Rare Elusive Cause of Significant Hematuria
Abstract
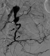
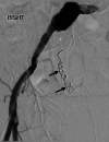
Arterioureteral fistula (AUF) is a direct communication between the ureter and an artery and is a rare cause of catastrophic, life-threatening haematuria. Fistulation may occur between the ureter and the abdominal aorta, common iliac, external and internal iliac, and inferior mesenteric arteries, and is typically observed in patients with a prior history of pelvic radiotherapy, oncological pelvic surgeries, aortoiliac vascular procedures, and pelvic exenteration. There is also an increased frequency of cases amongst patients who have undergone urological diversion surgeries and in those with chronic indwelling ureteric stents requiring repeated exchange. As AUF is so rarely encountered in clinical practice, the urologist may fail to appreciate its presence until late in the patient's presentation; such diagnostic delay is associated with high mortality and thus rapid clinical suspicion and investigative action are necessary. There are sporadic cases of this rare entity mentioned in literature. In this report, we present two cases as well as a review of the literature. A 73-year-old female presented with repeated episodic haematuria for a week in whom the cause of symptoms remained persistently elusive despite repeated imaging and operative approaches. An eventual diagnosis of a secondary right internal iliac-ureteral fistula was ascertained on a subsequent digital subtraction angiography of the renal tract. The fistula was embolised using an endovascular approach. The patient remained stable post emobilisation and was successfully discharged shortly after the procedure. In the second case, a 51-year-old female, presented with hematuria from her ileal conduit for a few days. Initially, the cause of symptoms was thought to be due to ureteric stents. During a change in her stents, brisk bleeding led to further investigation including an iliac angiogram confirming bleeding from the left common iliac artery. She had a covered common iliac artery stent, which successfully controlled her bleeding This report emphasizes the diagnostic difficulty of AUF, outlines the management principles of this rare disease, and aims to increase awareness of this rare yet potentially lethal phenomenon among practitioners of urology and interventional radiology.
Keywords: abnormal ureteric connection; arterial bleed; arterioureteral fistulation; haematuria; urological emergency.
Copyright © 2023, Waqar et al.
Conflict of interest statement
The authors have declared that no competing interests exist.
Figures









References
-
- Unique presentation of hematuria in a patient with arterioureteral fistula. Mujo T, Priddy E, Harris JJ, Poulos E, Samman M. https://doi.org/10.1155/2016/8682040. Case Rep Radiol. 2016;2016:8682040. - PMC - PubMed
-
- Common iliac artery-ureteral fistula: a case report and literature review. Chantada Abal V, Gómez Veiga F, Sousa Escandon A, González Martín M. https://pubmed.ncbi.nlm.nih.gov/8304804/ Arch Esp Urol. 1993;46:843–846. - PubMed
-
- External iliac artery-ureteric fistula. Mahoney PF, Stephen JG. Br J Urol. 1987;60:374. - PubMed
-
- Spontaneous iliac artery aneurysm—ureteric fistula. Grime PD, Wilmshurst CC, Clyne CA. https://www.sciencedirect.com/science/article/pii/S0950821X89800556. Eur J Vasc Surg. 1989;3:455–456. - PubMed
Publication types
LinkOut - more resources
Full Text Sources
Research Materials