A fast, easy and reliable method for hamstrings graft size prediction in anterior cruciate ligament reconstruction
- PMID: 37468620
- PMCID: PMC10471637
- DOI: 10.1007/s00167-023-07510-z
A fast, easy and reliable method for hamstrings graft size prediction in anterior cruciate ligament reconstruction
Abstract
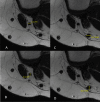
Purpose: The aim of this study is to describe and validate a simple and reliable method to pre-operatively predict the size of the ACL graft in the double strand technique with autologous semitendinosus-gracilis tendons on the same MRI used for ACL rupture diagnosis.
Methods: The study included 92 patients, with a median age of 31 years (IQR 26-41 years), 73/92 (79%) of whom were males. All patients that underwent an ACL reconstruction with doubled ST + GT between 2017 and 2022 were counted in the study.
Results: Overall, the median predicted graft diameter from MR imaging was similar to the actual graft diameter with no significant differences (n.s.). Regarding the comparison between predicted and actual graft size, concordance was 78/92 (85%, 95% CI 76-91%), with κ = 0.797 which corresponds to a level of agreement defined as "Strong". Tendon sizes calculated on pre-operative MRI were evaluated both with intra-observer and inter-observer reliability demonstrating a statistically reproducible method. The predicted graft was then compared to the reported one with a statistically significant reliability found.
Conclusion: This study can help the surgeons to perform a fast pre-operative planning of an ACL reconstruction for graft selection. If the planned graft with ST and GT is smaller than 8 mm, the clinician can decide to switch to a different type of graft or plan a different graft preparing technique and, therefore, reduce the risk of post-operative ligament re-rupture. The method proposed is reliable and reproducible. The major strength of the planning technique proposed is that it relies on data that are already available for the clinician before surgery, without the need of further analysis.
Level of evidence: IV.
Keywords: ACL reconstruction; Arthroscopy; Graft; Knee; Size.
© 2023. The Author(s).
Conflict of interest statement
The authors declare they do not have any conflict of interesting regarding the present study.
Figures






References
-
- An VVG, Scholes C, Mhaskar VA, Parker DA, Fritsch BA. Regression modelling combining MRI measurements and patient anthropometry for patient screening and prediction of graft diameter in hamstring autograft arthroscopic ACL reconstruction. Asia Pac J Sports Med Arthrosc Rehabil Technol. 2017;8:24–31. - PMC - PubMed
MeSH terms
LinkOut - more resources
Full Text Sources
Medical
Research Materials
Miscellaneous