Cardiac osteosarcoma: a case report and literature review
- PMID: 37492160
- PMCID: PMC10364321
- DOI: 10.3389/fcvm.2023.1215389
Cardiac osteosarcoma: a case report and literature review
Abstract
Background: Primary cardiac tumors are rare, and malignant primary cardiac tumors are even rarer. Cardiac osteosarcoma is a very rare type of malignant primary cardiac tumor with limited reported cases. We present a case report of cardiac osteosarcoma and review its characteristics and the related literature.
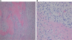
Case summary: A 44-year-old female patient without a specific medical history presented with intermittent dyspnea that started 1 month prior to presentation. A heterogeneous mass was observed in the left atrium on echocardiography and a large mass was observed in the left atrium on computed tomography. Surgery was performed under the suspicion of atypical cardiac myxoma, and the tumor was successfully removed. However, postoperative histopathological examination revealed cardiac osteosarcoma. The patient underwent chemotherapy and has been well maintained without recurrence for 10 years.
Conclusion: We present a case report of the echocardiographic features and treatment strategies for cardiac osteosarcoma, an extremely rare cardiac tumor. Multimodal imaging can be helpful; however, a histological diagnosis through surgical resection is essential. Appropriate treatment and follow-up based on histological findings are necessary.
Keywords: cardiac osteosarcoma; cardiac tumor; chemotherapy; echocardiography; surgery.
© 2023 Bae, Park, Kim, Kim, Choi, Bae, Hwang, Kim, Cho and Lee.
Conflict of interest statement
The authors declare that the research was conducted in the absence of any commercial or financial relationships that could be construed as a potential conflict of interest.
Figures



References
-
- Platonov MA, Turner AR, Mullen JC, Noga M, Welsh RC. Tumour on the tricuspid valve: metastatic osteosarcoma and the heart. Can J Cardiol. (2005) 21:63–7. - PubMed
Publication types
LinkOut - more resources
Full Text Sources