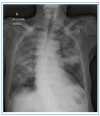
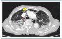
Rare Combination of Pneumothorax, Pneumomediastinum and Pneumopericardium and a Bronchopleural Fistula in Covid-19
- PMID: 37493746
- PMCID: PMC10367214
- DOI: 10.1590/0037-8682-0188-2023
Rare Combination of Pneumothorax, Pneumomediastinum and Pneumopericardium and a Bronchopleural Fistula in Covid-19
Conflict of interest statement
Figures



References
-
- 1. Menter T, Haslbauer JD, Nienhold R, Savic S, Hopfer H, Deigendesch N, et al. Postmortem examination of COVID-19 patients reveals diffuse alveolar damage with severe capillary congestion and variegated findings in lungs and other organs suggesting vascular dysfunction. Histopathology. 2020;77(2):198-209. Available from: http://dx.doi.org/10.1111/his.14134 - PMC - PubMed
- Menter T, Haslbauer JD, Nienhold R, Savic S, Hopfer H, Deigendesch N, et al. Postmortem examination of COVID-19 patients reveals diffuse alveolar damage with severe capillary congestion and variegated findings in lungs and other organs suggesting vascular dysfunction. Histopathology. 2020;77(2):198–209. doi: 10.1111/his.14134. - DOI - PMC - PubMed
-
- 2. Chang CY. Pneumomediastinum in a patient with severe Covid-19 pneumonia. Rev Soc Bras Med Trop. 2021;54:e03962021. Available from: http://dx.doi.org/10.1590/0037-8682-0396-2021 - PMC - PubMed
- Chang CY. Pneumomediastinum in a patient with severe Covid-19 pneumonia. Rev Soc Bras Med Trop. 2021;54:e03962021. doi: 10.1590/0037-8682-0396-2021. - DOI - PMC - PubMed
-
- 3. Talon A, Arif MZ, Mohamed H, Khokar A, Saeed AI. Bronchopleural fistula as a complication in a COVID-19 patient managed with endobronchial valves. J Investig Med High Impact Case Rep. 2021;9:23247096211013215. Available from: http://dx.doi.org/10.1177/23247096211013215 - PMC - PubMed
- Talon A, Arif MZ, Mohamed H, Khokar A, Saeed AI. Bronchopleural fistula as a complication in a COVID-19 patient managed with endobronchial valves. J Investig Med High Impact Case Rep. 2021;9:23247096211013215–23247096211013215. doi: 10.1177/23247096211013215. - DOI - PMC - PubMed
MeSH terms
LinkOut - more resources
Full Text Sources
Medical