Thoracic Diseases: Technique and Applications of Dual-Energy CT
- PMID: 37510184
- PMCID: PMC10378112
- DOI: 10.3390/diagnostics13142440
Thoracic Diseases: Technique and Applications of Dual-Energy CT
Abstract
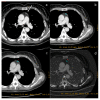
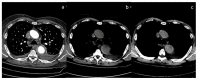
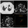
Dual-energy computed tomography (DECT) is one of the most promising technological innovations made in the field of imaging in recent years. Thanks to its ability to provide quantitative and reproducible data, and to improve radiologists' confidence, especially in the less experienced, its applications are increasing in number and variety. In thoracic diseases, DECT is able to provide well-known benefits, although many recent articles have sought to investigate new perspectives. This narrative review aims to provide the reader with an overview of the applications and advantages of DECT in thoracic diseases, focusing on the most recent innovations. The research process was conducted on the databases of Pubmed and Cochrane. The article is organized according to the anatomical district: the review will focus on pleural, lung parenchymal, breast, mediastinal, lymph nodes, vascular and skeletal applications of DECT. In conclusion, considering the new potential applications and the evidence reported in the latest papers, DECT is progressively entering the daily practice of radiologists, and by reading this simple narrative review, every radiologist will know the state of the art of DECT in thoracic diseases.
Keywords: ILD; acute aortic syndromes; breast cancer; dual-energy CT; esophageal cancer; lung cancer; lymph nodes; pleural carcinomatosis; pulmonary embolism; thymoma.
Conflict of interest statement
The authors declare no conflict of interest.
Figures















References
-
- Biondi M., Vanzi E., De Otto G., Buonamici F.B., Belmonte G., Mazzoni L., Guasti A., Carbone S.F., Mazzei M.A., La Penna A., et al. Water/cortical bone decomposition: A new approach in dual energy CT imaging for bone marrow oedema detection. A feasibility study. Phys. Medica. 2016;32:1712–1716. doi: 10.1016/j.ejmp.2016.08.004. - DOI - PubMed
Publication types
LinkOut - more resources
Full Text Sources