Biallelic MED27 variants lead to variable ponto-cerebello-lental degeneration with movement disorders
- PMID: 37517035
- PMCID: PMC10690011
- DOI: 10.1093/brain/awad257
Biallelic MED27 variants lead to variable ponto-cerebello-lental degeneration with movement disorders
Abstract
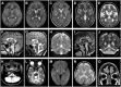
MED27 is a subunit of the Mediator multiprotein complex, which is involved in transcriptional regulation. Biallelic MED27 variants have recently been suggested to be responsible for an autosomal recessive neurodevelopmental disorder with spasticity, cataracts and cerebellar hypoplasia. We further delineate the clinical phenotype of MED27-related disease by characterizing the clinical and radiological features of 57 affected individuals from 30 unrelated families with biallelic MED27 variants. Using exome sequencing and extensive international genetic data sharing, 39 unpublished affected individuals from 18 independent families with biallelic missense variants in MED27 have been identified (29 females, mean age at last follow-up 17 ± 12.4 years, range 0.1-45). Follow-up and hitherto unreported clinical features were obtained from the published 12 families. Brain MRI scans from 34 cases were reviewed. MED27-related disease manifests as a broad phenotypic continuum ranging from developmental and epileptic-dyskinetic encephalopathy to variable neurodevelopmental disorder with movement abnormalities. It is characterized by mild to profound global developmental delay/intellectual disability (100%), bilateral cataracts (89%), infantile hypotonia (74%), microcephaly (62%), gait ataxia (63%), dystonia (61%), variably combined with epilepsy (50%), limb spasticity (51%), facial dysmorphism (38%) and death before reaching adulthood (16%). Brain MRI revealed cerebellar atrophy (100%), white matter volume loss (76.4%), pontine hypoplasia (47.2%) and basal ganglia atrophy with signal alterations (44.4%). Previously unreported 39 affected individuals had seven homozygous pathogenic missense MED27 variants, five of which were recurrent. An emerging genotype-phenotype correlation was observed. This study provides a comprehensive clinical-radiological description of MED27-related disease, establishes genotype-phenotype and clinical-radiological correlations and suggests a differential diagnosis with syndromes of cerebello-lental neurodegeneration and other subtypes of 'neuro-MEDopathies'.
Keywords: cerebellar atrophy; cerebello-lental degeneration; dystonia; gene transcription; mediator complex; neurodevelopmental disorders.
© The Author(s) 2023. Published by Oxford University Press on behalf of the Guarantors of Brain.
Conflict of interest statement
C.B. and P.B. are employees of CENTOGENE. T.B.P. is an employee of GeneDx, LLC. The other authors report no competing interests.
Figures
References
-
- Vodopiutz J, Schmook MT, Konstantopoulou V, et al. MED20 Mutation associated with infantile basal ganglia degeneration and brain atrophy. Eur J Pediatr. 2015;174:113–118. - PubMed
Publication types
MeSH terms
Substances
Grants and funding
LinkOut - more resources
Full Text Sources
Medical
Molecular Biology Databases
