Skip to main page content
U.S. flag

An official website of the United States government

Dot gov

The .gov means it’s official.
Federal government websites often end in .gov or .mil. Before sharing sensitive information, make sure you’re on a federal government site.

Https

The site is secure.
The https:// ensures that you are connecting to the official website and that any information you provide is encrypted and transmitted securely.

Access keys NCBI Homepage MyNCBI Homepage Main Content Main Navigation
. 2023 Aug;15(4):442-447.
doi: 10.1177/17585732211039459. Epub 2021 Oct 20.

Irreducible isolated anteromedial radial head dislocation due to ruptured anterior capsule and annular ligament interposition: A case report

Affiliations

Irreducible isolated anteromedial radial head dislocation due to ruptured anterior capsule and annular ligament interposition: A case report

Akira Ikumi et al. Shoulder Elbow. 2023 Aug.

Abstract

Traumatic radial head dislocation without a bone-associated lesion is uncommon, and irreducible cases are rare. We herein present a case of isolated irreducible anteromedial radial head dislocation due to anterior capsule and annular ligament interposition in a 16-year-old female patient. The patient was injured when she was thrown by an opponent during a judo match, and her right elbow was outstretched, combined with forearm pronation. Open reduction was required because of soft tissue interposition into the radiocapitellar joint. The ruptured anterior capsule and annular ligament were repaired using the overlapping suture technique; hence, the radial head was stabilized. At 3.5 years follow-up, the patient had satisfactory elbow function, and redislocation did not occur; however, mild degenerative changes were observed on radiographs. We discussed the injury mechanism using anatomical features in this case and previous literature.

Keywords: annular ligament; anterior capsule; elbow; irreducible radial head; radial head dislocation.

PubMed Disclaimer

Conflict of interest statement

The authors declared no potential conflicts of interest with respect to the research, authorship, and/or publication of this article.

Figures

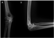
Figure 1.
Figure 1.
Radiographs of the anteroposterior view of the elbow (A, B) and lateral view of the forearm (C, D). Injured side (A, C) and contralateral side (B, D). The radial head was dislocated anteromedially. No fracture and plastic bowing of the ulna were observed. The maximum ulna bow was 4 mm on the injured side and 3 mm on the contralateral side.
Figure 2.
Figure 2.
MRI of short T1 inversion recovery was obtained 2 weeks post-injury. Sagittal view of the ulnar side (A), radial side (B, C), and coronal view (D). Soft tissue interposition from the anterior aspect into the RCJ was observed (white allow head). Signal change indicative of rupture was observed in MCL (*).
Figure 3.
Figure 3.
Intraoperative view (A) and schema (B). The ruptured anterior capsule and annular ligament were interposed into the radiocapitellar joint (RCJ), and the radial head (*) was observed from the extra-articular space.
Figure 4.
Figure 4.
Radiographs at the final follow-up of 3.5 years postoperatively. Anteroposterior view (A) and lateral view (B). Heterotopic ossification at the medial side of the elbow joint and degenerative changes around the radiocapitellar joint (RCJ) were observed.
Figure 5.
Figure 5.
Active range of motion (ROM) at the final follow-up of 3.5 years postoperatively. Extension (A) and flexion (B).
Figure 6.
Figure 6.
Proximal ulnar dorsal angulation (PUDA) was −4.4° on the injured side (A) and −3.8° on the contralateral side (B). The proximal ulna is inclined dorsally on both sides.

References

    1. Hayami N, Omokawa S, Iida A, et al. Biomechanical study of isolated radial head dislocation. BMC Musculoskelet Disord 2017; 18: 70. - PMC - PubMed
    1. Itadera E, Ueno K. Recurrent anterior instability of the radial head: case report. J Hand Surg Am 2014; 39: 206–208. - PubMed
    1. Watanabe K, Iwabu S, Hosoya T. Traumatic isolated anterior dislocation of the radial head in an adult: a case report. J Shoulder Elbow Surg 2005; 14: 554–556. - PubMed
    1. Salama R, Wientroub S, Weissman SL. Recurrent dislocation of the head of the radius. Clin Orthop Relat Res 1977; 125: 156–158. - PubMed
    1. Thompson JD, Lipscomb AB. Recurrent radial head subluxation treated with annular ligament reconstruction. A case report and follow-up study. Clin Orthop Relat Res 1989; 246: 131–135. - PubMed

LinkOut - more resources