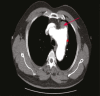
Elderly Man with Acute Chest Pain
- PMID: 37545747
- PMCID: PMC10398107
- DOI: 10.5001/omj.2023.100
Elderly Man with Acute Chest Pain
Figures




References
-
- European Society of Cardiology. Aortic diseases guidelines. ESC clinical practice guidelines. 2014 [cited 2023 Mar 15]. Available from: https://www.escardio.org/Guidelines/Clinical-Practice-Guidelines/Aortic-....
-
- Mozaffarian D, Benjamin EJ, Go AS, Arnett DK, Blaha MJ, Cushman M, et al. Writing Group Members. American Heart Association Statistics Committee. Stroke Statistics Subcommittee . American Heart Association Statistics Committee; Stroke Statistics Subcommittee. Heart disease and stroke statistics-2016 update: a report from the American heart association: a report from the American heart association. Circulation 2016. Jan;133(4):e38-e360. - PubMed
LinkOut - more resources
Full Text Sources