Skip to main page content
U.S. flag

An official website of the United States government

Dot gov

The .gov means it’s official.
Federal government websites often end in .gov or .mil. Before sharing sensitive information, make sure you’re on a federal government site.

Https

The site is secure.
The https:// ensures that you are connecting to the official website and that any information you provide is encrypted and transmitted securely.

Access keys NCBI Homepage MyNCBI Homepage Main Content Main Navigation
Review
. 2023 May-Jun;56(3):150-156.
doi: 10.1590/0100-3984.2022.0078-en.

Vacuum-assisted excision of breast lesions in surgical de-escalation: where are we?

Affiliations
Review

Vacuum-assisted excision of breast lesions in surgical de-escalation: where are we?

Beatriz Medicis Maranhão Miranda et al. Radiol Bras. 2023 May-Jun.

Abstract

Vacuum-assisted excision of breast lesions has come to be widely used in clinical practice. Increased acceptance and availability of the procedure, together with the use of larger needles, has allowed the removal of a greater amount of sample, substantially reducing the surgical upgrade rate and thus increasing the reliability of the results of the procedure. These characteristics result in the potential for surgical de-escalation in selected cases and gain strength in a scenario in which the aim is to reduce costs, as well as the rates of underestimation and overtreatment, without compromising the quality of patient care. The objective of this article is to review the technical parameters and current clinical indications for performing vacuum-assisted excision of breast lesions.

A excisão assistida a vácuo de lesões mamárias tem sido cada vez mais utilizada na prática clínica. A sua maior aceitação e disponibilidade, em associação ao uso de agulhas mais calibrosas, permitiu a retirada de quantidade maior de amostra, reduzindo substancialmente a taxa de subestimação diagnóstica e aumentando, assim, a confiabilidade final dos resultados do procedimento. Essas características resultam em potencial descalonamento cirúrgico, em casos selecionados, e ganham força em um cenário em que se visa a redução de custos, taxa de subestimação e tratamento excessivo, porém, sem comprometer a qualidade no cuidado com o paciente. O objetivo deste trabalho é revisar os parâmetros técnicos e as indicações clínicas atuais para realização de excisão assistida a vácuo em lesões mamárias.

Keywords: Biopsy; Breast neoplasms; Image-guided biopsy; Minimally invasive surgical procedures; needle.

PubMed Disclaimer

Figures

Figure 1
Figure 1
Patient with a core biopsy diagnosis of a fibroadenoma, initially measuring 1.2 cm, thereafter presenting growth and becoming palpable finding, growing to 2.3 cm by six months after diagnosis, when it was submitted to VAE. A: Pre-excision ultrasound showing the target lesion. B: Ultrasound during the procedure, showing the positioning of the needle below the lesion and activation of the vacuum. C: Post-excision ultrasound showing the clip marking the biopsy site. D: Macroscopic result of the fragments obtained from excision with a 7G needle.
Figure 2
Figure 2
Patient with a core biopsy diagnosis of a papillary lesion, subsequently submitted to VAE. A: Pre-excision ultrasound showing the target lesion. B: Ultrasound during the procedure, showing the positioning of the needle below the lesion and activation of the vacuum. C: Post-excision ultrasound showing the clip marking the biopsy site (arrows). The histological result was consistent with intraductal papilloma with a focus of atypical epithelial proliferation, measuring 3.5 mm, demonstrating the presence, by quantitative criteria, of intraductal papilloma with low-grade ductal carcinoma in situ.
Figure 3
Figure 3
Clustered microcalcifications (A) that were subsequent excised completely, a metal clip being inserted to mark the biopsy site (B). A radiograph of the specimens (C) and a photograph of their macroscopic aspect (D), the results being consistent with ductal calcifications without atypia, which was confirmed in the histological examination (E).
Figure 4
Figure 4
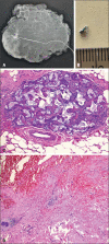
A: Radiograph of a surgical specimen containing a metal clip inserted after VAE, indicated with a metal wire. B: Metal clip. C,D: Histological sections of the specimen, showing the VAE site, fibrotic scarring, foci of recent hemorrhage, foreign body giant cell inflammatory reaction, and no residual neoplasia, the tumor diameter measured on the pre-VAE ultrasound being used in order to determine the size of tumor for staging purposes.

References

    1. den Dekker BM, van Diest PJ, de Waard SN, et al. Stereotactic 9-gauge vacuum-assisted breast biopsy, how many specimens are needed? Eur J Radiol. 2019;120:108665. - PubMed
    1. Pinder SE, Shaaban A, Deb R, et al. NHS Breast Screening multidisciplinary working group guidelines for the diagnosis and management of breast lesions of uncertain malignant potential on core biopsy (B3 lesions) Clin Radiol. 2018;73:682–692. - PubMed
    1. Park HL, Kwak JY, Jung H, et al. Is mammotome excision feasible for benign breast mass bigger than 3 cm in greatest dimension? J Korean Surg Soc. 2006;70:25–29.
    1. Forester ND, Lowes S, Mitchell E, et al. High risk (B3) breast lesions: what is the incidence of malignancy for individual lesion subtypes? A systematic review and meta-analysis. Eur J Surg Oncol. 2019;45:519–527. - PubMed
    1. Heil J, Sinn P, Richter H, et al. RESPONDER - diagnosis of pathological complete response by vacuum-assisted biopsy after neoadjuvant chemotherapy in breast cancer - a multicenter, confirmative, one-armed, intra-individually-controlled, open, diagnostic trial. BMC Cancer. 2018;18:851. - PMC - PubMed

LinkOut - more resources