Superior mesenteric artery syndrome in an 8-year-old boy: a case report
- PMID: 37568225
- PMCID: PMC10422738
- DOI: 10.1186/s13256-023-04061-2
Superior mesenteric artery syndrome in an 8-year-old boy: a case report
Abstract
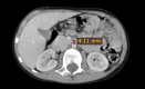
Background: Superior mesenteric artery syndrome (SMAS), also known as Wilkie's syndrome, is a rare disease that mainly presents as intestinal obstruction with a variable incidence ranging from 0.013 to 0.3% (Salehzadeh et al. in Case Rep Gastrointest Med, 2019, 10.1155/2019/3458601). In this syndrome, the third part of the duodenum, located between the abdominal aorta and the superior mesenteric artery, is wholly or partially obstructed (Mosalli et al. in J Pediatr Surg 46:e29-31, 2011). Case presentation An 8-years-old Arabian male patient was admitted to the gastrointestinal department at the pediatric hospital in Damascus, Syria, with complaints of chronic abdominal pain and periodic vomiting since he was two years old. At the age of Seven, he was diagnosed with appendicitis, and after two months of persistent symptoms, he was diagnosed with an umbilical hernia. Finally, after a long time of suffering, he was diagnosed with SMAS and underwent a successful surgical operation. After 3 months of follow-up, he was in good health with no symptoms.
Conclusion: Whenever a patient complains of vomiting and chronic abdominal pain, intestinal obstruction is suspected, Common differential diagnoses were excluded and the cause is anonymous, we should consider superior mesenteric artery syndrome.
Keywords: Case report; Duodenojejunal anastomosis; SMAS; Superior mesenteric artery syndrome; Wilkie's syndrome.
© 2023. The Author(s).
Conflict of interest statement
The authors declare no competing interests.
Figures


References
Publication types
MeSH terms
LinkOut - more resources
Full Text Sources
Medical