Small Bowel Lymphoma Complicated With Ischemic Colitis: A Case Report
- PMID: 37575763
- PMCID: PMC10421726
- DOI: 10.7759/cureus.41792
Small Bowel Lymphoma Complicated With Ischemic Colitis: A Case Report
Abstract
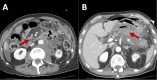
Ischemic colitis is thought to be an injury to the colon as a result of reduced blood flow. Certain infectious diseases such as the Epstein-Barr virus can aid in the reduction of blood flow. The insult can range from inflammation and superficial injury to full-thickness necrosis. The typical regions affected are the "watershed" areas of the colon: the splenic flexure, the rectosigmoid junction, and the right colon. Because patients can present with a wide spectrum of symptoms from vague abdominal discomfort to complete abdominal catastrophe, the diagnosis of ischemic colitis is sometimes challenging to make. Patients typically present with the acute onset of crampy abdominal pain and usually pass blood mixed with stool within 24 hours. Endoscopically, ischemia is suspected in the presence of bluish hemorrhagic nodules from submucosal bleeding, cyanotic or necrotic mucosa with bleeding ulcerations, or a segmental distribution with an abrupt transition point between injured and normal mucosa. We present a case of an 80-year-old male with a history of hypertension, hyperlipidemia, and basal cell carcinoma of the scalp diagnosed with ischemic colitis associated with positive Epstein-Barr virus B cell lymphoma.
Keywords: b cell lymphoma; epstein barr virus; ischemic colitis; neutropenic enterocolitis; pneumatosis coli; small cell lymphoma.
Copyright © 2023, Inban et al.
Conflict of interest statement
The authors have declared that no competing interests exist.
Figures


References
-
- Systematic review: the epidemiology of ischaemic colitis. Higgins PD, Davis KJ, Laine L. Aliment Pharmacol Ther. 2004;19:729–738. - PubMed
-
- Extensive colonic ischemia following treatment with bevacizumab, fluouracil and CPT-11 in a young patient with advanced adenocarcinoma of the rectum. Paran H, Edelstein E, Klein B, Gutman M. https://www.ima.org.il/filesupload/IMAJ/0/46/23061.pdf. Isr Med Assoc J. 2007;9:488–489. - PubMed
-
- Colitis associated with docetaxel-based chemotherapy in patients with metastatic breast cancer. Ibrahim NK, Sahin AA, Dubrow RA, et al. Lancet. 2000;355:281–283. - PubMed
-
- Gastrointestinal complications of oncologic therapy. Davila M, Bresalier RS. Nat Clin Pract Gastroenterol Hepatol. 2008;5:682–696. - PubMed
Publication types
LinkOut - more resources
Full Text Sources