Pulmonary cystic echinococcosis
- PMID: 37578473
- PMCID: PMC10487362
- DOI: 10.1097/QCO.0000000000000962
Pulmonary cystic echinococcosis
Abstract
Purpose of review: The aim of our review is to summarize specific clinical, diagnostic and treatment aspects of pulmonary cystic echinococcosis. The lung is the organ second most affected by cystic echinococcosis with approximately a quarter of cystic echinococcosis cysts. Most cysts are in the liver. Apart from the watch and wait approach for selected inactive cysts [cystic echinococcosis CE4, CE5], the well established WHO cystic echinococcosis cyst classification-based treatment of hepatic cystic echinococcosis cannot be applied to pulmonary cystic echinococcosis cysts. Some standard interventions can even be harmful when applied to pulmonary cystic echinococcosis cysts.
Recent findings: Cystic echinococcosis is one of the neglected tropical diseases (NTDs). Development of new diagnostics and treatment modalities is hampered by low investment into research and is accordingly slow.
Summary: Surgery is the mainstay of treatment for pulmonary cystic echinococcosis cysts. Parenchyma-sparing surgical techniques should be used whenever possible. Albendazole induces decay of the parasitic cyst membrane, opening of cystobronchial fistulas and cyst complications, which can be life threatening. It is strongly recommended to seek advice from expert centres, including differential diagnoses, treatment and a long-term management plan.
Copyright © 2023 The Author(s). Published by Wolters Kluwer Health, Inc.
Conflict of interest statement
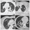
Figures
References
-
- Deplazes P, Rinaldi L, Alvarez Rojas CA, et al. . Global distribution of alveolar and cystic echinococcosis. Adv Parasitol 2017; 95:315–493. - PubMed
-
- Stojkovic M, Gottstein B, Weber TF, Junghanss T. Cystic, Alveolar and neotropical echinococcosis. In: Farrar J, Garcia PJ, Hotez T, Junghanss T, Kang G, Laloo D, et al., editors. Manson's tropical diseases. 24th ed. July 14, 2023.
-
Comprehensive and up-to-date chapter on clinical management of cystic echinococcosis.
-
- Brunetti E, Kern P, Vuitton DA. Writing Panel for the WHO-IWGE. Expert consensus for the diagnosis and treatment of cystic and alveolar echinococcosis in humans. Acta Trop 2010; 114:1–16. - PubMed
Publication types
MeSH terms
Substances
LinkOut - more resources
Full Text Sources
Research Materials
