A Cone-Beam Computed Tomography Assessment of the Relationship between Incisal and Condylar Guidance
- PMID: 37588818
- PMCID: PMC10427097
- DOI: 10.26574/maedica.2023.18.2.257
A Cone-Beam Computed Tomography Assessment of the Relationship between Incisal and Condylar Guidance
Abstract
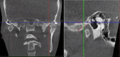
The success of complex prosthodontic treatment is believed to be conditioned by condylar path replication in the articulator, as there is a continuing debate in the scientific community regarding the anatomical relationship between joint and dental morphology. The purpose of this study was to investigate the potential correlation between incisal and condylar guidance. The study population consisted of 20-30-year-old full dentate individuals with Angle class 1 occlusion, whose cone-beam computed tomography (CBCT) scans were analyzed by two investigators. The anterior slope of the right and left glenoid fossa angle and the palatal slope of all maxillary frontal teeth were measured by software tools at three defined landmarks, and the mean values were calculated. Statistical analysis was performed using IBM SPSS Statistics software (version 19.0), and the Pearson r coefficient test was used to assess correlations. The results reveal a highly statistically significant correlation between median condylar slopes and between median incisal slopes of the anterior teeth, on the left and right side, in the three standard areas (p<0.01). However, no significant correlation was found between the condylar slopes and the incisal slopes of the anterior teeth (p>0.01) in class 1 Angle subjects. In conclusion, this study did not provide evidence to support the existence of a significant correlation between incisal and condylar guidance in the population under investigation.
Figures











References
-
- Price RB, Kolling JN, Clayton JA. Effects of changes in articulator settings on generated occlusal tracings. Part I: Condylar inclination and progressive side shift settings. J Prosthet Dent. 1991;65:237–243. - PubMed
-
- Lundeen HC, Shryock EF, Gibbs CH. An evaluation of mandibular border movements: Their character and significance. J Prosthet Dent. 1978;40:442–452. - PubMed
-
- Okeson JP. Management of Temporomandibular Disorders and Occlusion. 4th ed. St Louis, Mo: Mosby-Year Book. 1998:127–146.
-
- Katsavrias EG. Changes in articular eminence inclination during the craniofacial growth period. Angle Orthod. 2002;72:258–264. - PubMed
-
- Pandis N, Karpac J, Trevino R, Williams B. A radiographic study of condyle position at various depths of cut in dry skulls with axially corrected lateral tomograms. Am J Orthod Dentofacial Orthop. 1991;100:116–122. - PubMed
Publication types
LinkOut - more resources
Full Text Sources