A juxtaglomerular cell tumor revealed by a hemorrhagic stroke. A case report
- PMID: 37621391
- PMCID: PMC10445440
- DOI: 10.1016/j.eucr.2023.102535
A juxtaglomerular cell tumor revealed by a hemorrhagic stroke. A case report
Abstract
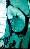
With about 110 cases reported in literature, juxtaglomerular cell tumors are rare. We report a 25 years old patient who was admitted in neurology for a hemorrhagic stroke secondary to a cerebral aneurysm rupture due to high blood pressure. Etiological investigations showed a solid mass of the left kidney. A radical nephrectomy was realized and pathological examination and immunohistochemical profile concluded to juxtaglomerular cell tumor. The originality of this observation is based on the mode of presentation of a rare renal tumor by a malignant high blood pressure.
Keywords: Hemorrhagic stroke; High blood pressure; Juxtaglomerular cell tumor; Renal tumor.
© 2023 Published by Elsevier Inc.
Conflict of interest statement
The authors declare that they have no competing interests.
Figures



References
-
- RoZimmermann Y., Tawadros C., Andrejevic-Blant S., Vogel G. Une cause rare d’hypertension artérielle avec hypokaliémie : un cas de réninome [A rare cause of hypertension with hypokalemia: a case of reninoma] Néphrol Thérapeutique. 2021 Dec;17(7):538–542. doi: 10.1016/j.nephro.2021.05.005. French. - DOI - PubMed
-
- Wong L., Hsu T.H., Perlroth M.G., Hofmann L.V., Haynes C.M., Katznelson L. Reninoma: case report and literature review. J Hypertens. 2008;26(2):368–373. - PubMed
Publication types
LinkOut - more resources
Full Text Sources