A rare case of epiploic appendages infarction within an incisional hernia: a usual complain of unusual cause
- PMID: 37621959
- PMCID: PMC10447079
- DOI: 10.1093/jscr/rjad483
A rare case of epiploic appendages infarction within an incisional hernia: a usual complain of unusual cause
Abstract
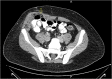
Epiploic appendagitis (EA) is an uncommon condition caused by infarction of epiploic appendages "small fat outpouchings present on the outside of the colon wall" because of torsion or thrombosis of the main draining vein. It is sometimes misdiagnosed as diverticulitis or appendicitis. Lab tests usually are normal, and the diagnosis is mainly by computerized tomography (CT) scan. Treatment is conservative as it is a self-limited condition, and the symptoms will resolve spontaneously within 2 weeks. However, surgical appendage removal could be necessary if symptoms increase or continue. Here, we report our experience with a 21-year-old male patient, who presented with a 1-day duration of localized right lower quadrant (RLQ) abdominal pain within 18*10 cm incisional hernia, imaging revealed signs of epiploic appendages infarction within the huge incisional hernia. This case describes an atypical scenario for EA, which was successfully managed with surgery. The final pathology report confirms the diagnosis.
Keywords: epiploic appendages infarction; epiploic appendagitis; right lower quadrant painincisional hernia.
Published by Oxford University Press and JSCR Publishing Ltd. © The Author(s) 2023.
Conflict of interest statement
None declared.
Figures
 
              
              
              
              
                
                
                 
              
              
              
              
                
                
                 
              
              
              
              
                
                
                References
- 
    - Dockerty MB, Lynn TE, Waugh JM. A clinicopathologic study of the epiploic appendages. Surg Gynecol Obstet 1956;103:423–33. - PubMed
 
- 
    - Rodríguez Gandía MA, Moreira Vicente V, Gallego Rivera I, Rivero Fernández M, Garrido Gómez E. Epiploic appendicitis: the other appendicitis. Gastroenterol Hepatol 2008;31:98–103. - PubMed
 
- 
    - Schnedl WJ, Krause R, Tafeit E, Tillich M, Lipp RW, Wallner-Liebmann SJ. Insights into epiploic appendagitis. Nat Rev Gastroenterol Hepatol 2011;8:45–9. - PubMed
 
- 
    - Singh AK, Gervais DA, Hahn PF, Sagar P, Mueller PR, Novelline RA. Acute epiploic appendagitis and its mimics. Radiographics 2005;25:1521–34. - PubMed
 
Publication types
LinkOut - more resources
- Full Text Sources
- Miscellaneous
 
        