Midgut Cell Damage and Oxidative Stress in Partamona helleri (Hymenoptera: Apidae) Workers Caused by the Insecticide Lambda-Cyhalothrin
- PMID: 37627505
- PMCID: PMC10451733
- DOI: 10.3390/antiox12081510
Midgut Cell Damage and Oxidative Stress in Partamona helleri (Hymenoptera: Apidae) Workers Caused by the Insecticide Lambda-Cyhalothrin
Abstract
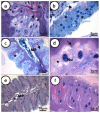
The stingless bee Partamona helleri plays a role in pollinating both native and cultivated plants in the Neotropics. However, its populations can be reduced by the pyrethroid insecticide lambda-cyhalothrin. This compound may cross the intestinal barrier and circulate through the hemolymph, affecting various non-target bee organs. The aim of the present study was to assess the extent of cellular damage in the midgut and the resulting oxidative stress caused by lambda-cyhalothrin in P. helleri workers. Bees were orally exposed to lambda-cyhalothrin. The lethal concentration at which 50% of the bees died (LC50) was 0.043 mg a.i. L-1. The P. helleri workers were fed this concentration of lambda-cyhalothrin and their midguts were evaluated. The results revealed signs of damage in the midgut epithelium, including pyknotic nuclei, cytoplasm vacuolization, changes in the striated border, and the release of cell fragments, indicating that the midgut was compromised. Furthermore, the ingestion of lambda-cyhalothrin led to an increase in the activity of the detoxification enzyme superoxide dismutase and the levels of the NO2/NO3 markers, indicating oxidative stress. Conversely, the activities of the catalase and glutathione S-transferase enzymes decreased, supporting the occurrence of oxidative stress. In conclusion, the ingestion of lambda-cyhalothrin by P. helleri workers resulted in damage to their midguts and induced oxidative stress.
Keywords: cytotoxicity; histopathology; pollinators.
Conflict of interest statement
The authors declare no conflict of interest. The funders had no role in the design of the study; in the collection, analyses, or interpretation of the data; in the writing of the manuscript; or in the decision to publish the results.
Figures




References
-
- Ollerton J., Winfree R., Tarrant S. How many flowering plants are pollinated by animals? Oikos. 2011;120:321–326. doi: 10.1111/j.1600-0706.2010.18644.x. - DOI
-
- Garibaldi L.A., Steffan-Dewenter I., Winfree R., Aizen M.A., Bommarco R., Cunningham S.A., Kremen C., Carvalheiro L.G., Harder L.D., Afik O., et al. Wild pollinators enhance fruit set of crops regardless of honey bee abundance. Science. 2017;339:1608–1611. doi: 10.1126/science.1230200. - DOI - PubMed
-
- Breeze T.D., Bailey A.P., Balcombe K.G., Potts S.G. Pollination services in the UK: How important are bees? Agric. Ecosyst. Environ. 2013;142:137–143. doi: 10.1016/j.agee.2011.03.020. - DOI
-
- Morais C.R., Travençolo A.G., Carvalho S.M., Beletti M.E., Santos V.S.V., Campos C.F., Júnior E.O.C., Pereira B.B., Naves M.P.C., Rezende A.A.A., et al. Ecotoxicological effects of the insecticide fipronil in Brazilian native stingless bees Melipona scutellaris (Apidae: Meliponini) Chemosphere. 2018;206:632–642. doi: 10.1016/j.chemosphere.2018.04.153. - DOI - PubMed
-
- Padilha A.C., Piovesan B., Morais M.C., Pazini J.B., Zotti M.J., Botton M., Grützmacher A.D. Toxicity of insecticides on neotropical stingless bees Plebeia emerina (Friese) and Tetragonisca fiebrigi (Schwarz) (Hymenoptera: Apidae: Meliponini) Ecotoxicology. 2020;29:119–128. doi: 10.1007/s10646-019-02150-x. - DOI - PubMed
Grants and funding
LinkOut - more resources
Full Text Sources