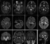
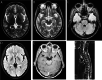
A Rare Clinical and Radiological Presentation of Neurosyphilis
- PMID: 37635776
- PMCID: PMC10450231
- DOI: 10.1002/mdc3.13830
A Rare Clinical and Radiological Presentation of Neurosyphilis
Keywords: ataxia; imaging; myoclonus; neurosyphilis.
Figures


References
-
- Ghanem KG, Ram S, Rice PA. The modern epidemic of syphilis. N Engl J Med 2020;382(9):845–854. - PubMed
-
- Ropper AH. Neurosyphilis. N Engl J Med 2019;381(14):1358–1363. - PubMed
-
- Pitton Rissardo J, Fornari Caprara AL. Neurosyphilis‐associated movement disorder: a literature review. Ann Mov Disord 2020;3:129–144.
-
- Tong ML, Lin LR, Zhang HL, et al. Spectrum and characterization of movement disorders secondary to neurosyphilis. Parkinsonism Relat Disord 2013;19(4):441–445. - PubMed
-
- Shah BB, Lang AE. Acquired neurosyphilis presenting as movement disorders. Mov Disord 2012;27(6):690–695. - PubMed
Publication types
LinkOut - more resources
Full Text Sources