Co-Presentation of Lupus Nephritis with Autoimmune Hepatitis
- PMID: 37641400
- PMCID: PMC10474845
- DOI: 10.12659/AJCR.940478
Co-Presentation of Lupus Nephritis with Autoimmune Hepatitis
Abstract
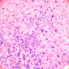
BACKGROUND Systemic lupus erythematosus (SLE) is a multiorgan immunologic disease which commonly results in systemic manifestations by involving joints, kidneys, skin, heart, hematologic cell lines, pulmonary and central nervous systems. The hepatic involvement of lupus is relatively less common, which creates diagnostic challenges, as the clinical presentations of lupus hepatitis and autoimmune hepatitis (AIH) are similar. CASE REPORT A 51-year-old woman presented for multiple joint pain that began 2 years ago. Her work-up, including kidney biopsy, was consistent with a diagnosis of class V lupus nephritis. Subsequently, within a few months, she was admitted with acute elevation of liver enzymes and high immunoglobulin IgG level, and a liver biopsy demonstrated impressive interface hepatitis with many plasma cells and lymphocytes, suggestive of chronic hepatitis with high histological activity. This case illustrates the co-presentation of lupus nephritis and AIH, which is a rare association. The patient was managed with a tapering dose of prednisone, hydroxychloroquine initially, and later with mycophenolate mofetil, with complete resolution of liver enzyme abnormalities by 4-month follow-up. CONCLUSIONS Lupus hepatitis is hepatic involvement of SLE, which should be distinguished from AIH. Accurate diagnosis is important, as management and prognosis of these immunologic conditions can differ. Although both entities share clinical and biochemical markers, the presence of anti-ribosomal P antibodies and liver histology features of predominant lymphoid infiltrates with lobular inflammation favor lupus hepatitis. A multidisciplinary approach involving rheumatologists, hepatologists, and pathologists can improve disease outcomes by properly differentiating the 2 entities and guiding the selection of appropriate immunosuppressive therapy.
Conflict of interest statement
Figures




References
-
- Heneghan MA, Yeoman AD, Verma S, et al. Autoimmune hepatitis. Lancet. 2013;382(9902):1433–44. - PubMed
-
- Takahashi A, Rai T, Onizawa M, et al. Autoimmune hepatitis complicated by late-onset systemic lupus erythematosus. Hepatol Res. 2007;37(9):771–74. - PubMed
-
- Runyon BA, LaBrecque DR, Anuras S. The spectrum of liver disease in systemic lupus erythematosus. Report of 33 histologically-proved cases and review of the literature. Am J Med. 1980;69(2):187–94. - PubMed
-
- Adiga A, Nugent K. Lupus hepatitis and autoimmune hepatitis (lupoid hepatitis) Am J Med Sci. 2017;353(4):329–35. - PubMed
-
- Czaja AJ, Morshed SA, Parveen S, Nishioka M. Antibodies to single-stranded and double-stranded DNA in antinuclear antibody-positive type 1-autoimmune hepatitis. Hepatology. 1997;26(3):567–72. - PubMed
Publication types
MeSH terms
LinkOut - more resources
Full Text Sources
Medical