A rare histopathological variant of Schwannoma with rosette-like arrangements and epithelioid cells: a case report from a histopathologist's perspective
- PMID: 37641908
- PMCID: PMC10466011
- DOI: 10.5125/jkaoms.2023.49.4.233
A rare histopathological variant of Schwannoma with rosette-like arrangements and epithelioid cells: a case report from a histopathologist's perspective
Abstract
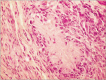
Schwannomas exhibit histopathological variation that leads to diagnostic dilemmas, although less frequent in the oral cavity. We describe a case with unique histopathology and no relevant clinical history that adds to the breadth of literature on the diversity presented by Schwannoma. A 60-year-old female patient presented with a small dome-shaped, asymptomatic swelling on the alveolar ridge 6 years in duration. Histopathologically, it showed rich cellular pathology with a unique arrangement of tumor cells forming irregular rosettes. Each rosette presented with a central core of fibrincollagenous material and the tumor cells were arranged on the periphery, exhibiting epithelioid change with evidence of mild cellular and nuclear pleomorphism. On immunohistochemical evaluation, the cells were strongly and diffusely positive for S-100 and negative for Ki-67. A diagnosis of benign Schwannoma with a rosette-like arrangement with epithelioid change was made. The case report emphasizes the risk of misdiagnosis and the importance of awareness regarding rare histopathological variants of Schwannoma.
Keywords: Collagen; Epithelioid cells; Neurilemmoma; Rosette; Verocay bodies.
Conflict of interest statement
No potential conflict of interest relevant to this article was reported.
Figures
References
-
- Heo SJ, Kim AY, Kim JS. Two cases of neurilemmoma in the nasal vestibule: a case report and literature review. Medicine (Baltimore) 2022;101:e29006. doi: 10.1097/MD.0000000000029006. https://doi.org/10.1097/md.0000000000029006. - DOI - PMC - PubMed
-
- Urs AB, Kumar P, Augustine J, Malhotra R, Jot K. Pathological diversity in Schwannomas of the orofacial region. Asian J Neurosurg. 2021;16:402–5. doi: 10.4103/ajns.AJNS_470_20. https://doi.org/10.4103/ajns.ajns_470_20. - DOI - PMC - PubMed
-
- Sitenga J, Aird G, Vaudreuil A, Huerter CJ. Clinical features and management of Schwannoma affecting the upper and lower lips. Int J Dermatol. 2018;57:1047–52. doi: 10.1111/ijd.13920. https://doi.org/10.1111/ijd.13920. - DOI - PubMed
-
- Bakir M, Enabi J, Almeshal H. Unusual lower lip swelling: a rare case of lip Schwannoma. Cureus. 2021;13:e19242. doi: 10.7759/cureus.19242. https://doi.org/10.7759/cureus.19242. - DOI - PMC - PubMed
-
- Lee JD, Kwon TJ, Kim UK, Lee WS. Genetic and epigenetic alterations of the NF2 gene in sporadic vestibular Schwannomas. PLoS One. 2012;7:e30418. doi: 10.1371/journal.pone.0030418. https://doi.org/10.1371/journal.pone.0030418. - DOI - PMC - PubMed
