Pediatric Acute Respiratory Distress Syndrome and Tracheal Injury in a Patient Requiring Extracorporeal Membrane Oxygenation Following Cement Aspiration: A Case Report
- PMID: 37644977
- PMCID: PMC10461942
- DOI: 10.1097/CCE.0000000000000969
Pediatric Acute Respiratory Distress Syndrome and Tracheal Injury in a Patient Requiring Extracorporeal Membrane Oxygenation Following Cement Aspiration: A Case Report
Abstract
Background: Ingestion and aspiration of caustic substances is a common problem in pediatrics and carries the risk of associated aspiration pneumonitis, laryngeal injury, and esophageal injury. Extracorporeal membrane oxygenation (ECMO) has been used to support adults with acute respiratory distress syndrome (ARDS) from aspiration of cement dust, however, literature outlining pediatric management in cases of alkali lung and airway injuries is lacking.
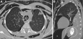
Case summary: A 6-year-old boy presented with ARDS from cement aspiration requiring high-pressure ventilation. He had further complications of tracheal injury with subsequent pneumomediastinum secondary to the alkali burn. He required ECMO to facilitate repeat bronchoscopy for cement particle washout and to enable recovery from ARDS and tracheal injury.
Conclusion: This case highlights the need to perform early bronchoscopy and gastrointestinal endoscopy for injury assessment and foreign body removal in alkali burns. It also emphasizes the value of ECMO support for respiratory failure and facilitating bronchoalveolar lavage when it is not otherwise tolerated.
Keywords: acute respiratory distress syndrome; alkali; cement; extracorporeal membrane oxygenation; pediatric.
Copyright © 2023 The Authors. Published by Wolters Kluwer Health, Inc. on behalf of the Society of Critical Care Medicine.
Conflict of interest statement
The authors declare no financial or ethical conflicts of interest regarding the contents of this submission.
Figures



References
-
- Polito A, Dupois-Lozeron E, Barbaro R, et al. : Ventilation parameters before extracorporeal membrane oxygenator and in-hospital mortality in children: A review of the ELSO Registry. ASAIO 2022; 68:p 28106 - PubMed
-
- Schumacher G, Juniper L. in The Coal Handbook: Towards Cleaner Production: Coal Utilisation, 2013.
Publication types
LinkOut - more resources
Full Text Sources