A child with polyarthritis and chronic lung disease: a case report of ataxia-telangiectasia
- PMID: 37667293
- PMCID: PMC10478427
- DOI: 10.1186/s13052-023-01509-5
A child with polyarthritis and chronic lung disease: a case report of ataxia-telangiectasia
Abstract
Background: Ataxia-telangiectasia (A-T) is a rare autosomal recessive DNA repair disorder, characterized by progressive cerebellar degeneration, telangiectasia, immunodeficiency, recurrent sinopulmonary infections, radiation sensitivity, premature aging and predisposition to cancer. Although the association with autoimmune and chronic inflammatory conditions such as vitiligo, thrombocytopenia and arthritis has occasionally been reported, an onset with articular involvement at presentation is rare.
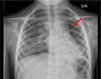
Case presentation: We herein report the case of a 7-year-old Caucasian girl who was admitted to the Rheumatology Department with a history of febrile chough and polyarthritis which led initially to the suspicion of an autoinflammatory disease. She had overt polyarthritis with knees deformities and presented with severe pneumonia. A chest Computed Tomography (CT) scan showed bilateral bronchiectasis, parenchymal consolidation and interstitial lung disease; rheumatoid factor and type I interferon signature resulted negative, therefore excluding COatomer Protein subunit Alpha (COPA) syndrome. A diagnosis of sarcoidosis had been suspected based on histological evidence of granulomatous liver inflammation, but ruled out after detecting normal angiotensin converting enzyme and chitotriosidase blood levels. Based on her past medical history characterized by at least six episodes of pneumonia in the previous 4 years, immunological phenotyping was performed. This showed complete IgA and IgE deficiency with defective antigen-specific antibodies to Pneumococcal, Tetanus toxin and Hemophilus Influenzae B vaccines. Additionally, low numbers of B cells and recent thymic emigrants (RTE) were found (CD4Ra 1.4%), along with a low CD4+/CD8 + T cells ratio (< 1). Finally, based on gait disturbances (wobbly wide-based walking), serum alfa-fetoprotein was dosed, which resulted increased at 276 ng/ml (normal value < 7 ng/ml). A diagnosis of Ataxia-Telangiectasia was made, strengthened by the presence of bulbar telangiectasia, and then confirmed by Whole Exome Sequencing (WES).
Conclusions: Although rare, A-T should always be ruled out in case of pulmonary bronchiectasis and gait disturbances even in the absence of bulbar or skin telangiectasia. Autoimmune and granulomatous disorders must to be considered as differential diagnosis.
Keywords: Ataxia-telangiectasia; Bronchiectasis; Case report.; Granulomatosis; Immunodeficiency; Interstitial lung disease; Juvenile idiopathic arthritis.
© 2023. Società Italiana di Pediatria.
Conflict of interest statement
The authors declare that they have no competing interests.
Figures
References
Publication types
MeSH terms
LinkOut - more resources
Full Text Sources
Medical
Research Materials
Miscellaneous
