Solitary choroidal metastasis of distal cholangiocarcinoma: A case report
- PMID: 37674862
- PMCID: PMC10477709
- DOI: 10.3892/ol.2023.14004
Solitary choroidal metastasis of distal cholangiocarcinoma: A case report
Abstract
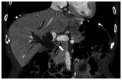
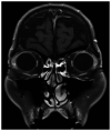
Metastatic choroidal carcinoma is rare and generally has a poor prognosis. The present case report describes a case of choroidal metastasis from distal cholangiocarcinoma, which was successfully managed using stereotactic radiotherapy (SRT). A 67-year-old Japanese man underwent pancreaticoduodenectomy for distal cholangiocarcinoma. The pathological stage was T2N0M0 stage IIA, according to the Union for International Cancer Control 8th edition. After surgery, the patient received adjuvant chemotherapy with oral TS-1® for 1 month. A total of 2 months after surgery, the patient was readmitted to hospital due to decreased visual acuity. Fundoscopy revealed a macular hole in the right eye that accounted for the decreased visual acuity. Additionally, Goldmann three-mirror contact lens examination revealed a 4-mm choroidal mass with a yellowish color situated at a considerable distance from the optic nerve. Magnetic resonance imaging revealed an enhanced choroidal mass. Based on the findings of ophthalmologic examinations and the patient's history of cholangiocarcinoma, they were diagnosed with choroidal metastasis from distal cholangiocarcinoma. SRT was administered at a total dose of 40 Gy divided into 8 Gy fractions. A total of 1 year after SRT, the patient achieved complete remission without decreased visual acuity. The patient remains alive and in good health without recurrence, 4 years after the diagnosis of choroidal metastasis. To the best of our knowledge, this is the second reported case of intraocular metastasis from cholangiocarcinoma. In conclusion, SRT may provide an opportunity to control metastatic choroidal carcinoma without decreasing visual acuity.
Keywords: SRT; biliary tract cancer; choroidal metastasis; distal cholangiocarcinoma; intraocular metastasis.
Copyright: © Shimojima et al.
Conflict of interest statement
The authors declare that they have no competing interests.
Figures





References
Publication types
LinkOut - more resources
Full Text Sources