Necrotising Inflammation of Peri-Pancreatic Tissue With Normal Appearance of Pancreas Is a Distinct Entity of Acute Pancreatitis: Report of Two Cases With Review of Literature
- PMID: 37680405
- PMCID: PMC10481991
- DOI: 10.7759/cureus.43075
Necrotising Inflammation of Peri-Pancreatic Tissue With Normal Appearance of Pancreas Is a Distinct Entity of Acute Pancreatitis: Report of Two Cases With Review of Literature
Abstract
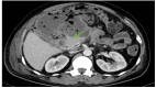
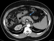
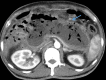
Improved insights into the pathophysiology of acute pancreatitis have paved the way for identification of distinct entities in the spectrum of the disease. The presence of necrotising inflammation limited to peripancreatic tissue with a normal appearance of pancreas is one such entity. This entity, described as extrapancreatic necrotising pancreatitis (EPN), is considered a less aggressive form of acute necrotising pancreatitis. This entity needs to be recognized precisely and managed accordingly among patients with acute pancreatitis. However, EPN has not been highlighted in the revised classification of acute pancreatitis. Here we report two patients with EPN with varied presentations and diverse management and outcome.
Keywords: acute pancreatitis; extrapancreatic necrotising pancreatitis; necrotising pancreatitis; peri-pancreatic inflammation; revised atlanta’s classification.
Copyright © 2023, Nitesh et al.
Conflict of interest statement
The authors have declared that no competing interests exist.
Figures





References
-
- Classification of acute pancreatitis--2012: revision of the Atlanta classification and definitions by international consensus. Banks PA, Bollen TL, Dervenis C, et al. Gut. 2013;62:102–111. - PubMed
-
- Infected retroperitoneal fat necrosis associated with acute pancreatitis. Madry S, Fromm D. https://pubmed.ncbi.nlm.nih.gov/8149021/ J Am Coll Surg. 1994;178:277–282. - PubMed
-
- Extrapancreatic necrosis without pancreatic parenchymal necrosis: a separate entity in necrotising pancreatitis? Bakker OJ, van Santvoort H, Besselink MG, et al. Gut. 2013;62:1475–1480. - PubMed
-
- Extrapancreatic necrotizing pancreatitis with viable pancreas: a previously under-appreciated entity. Sakorafas GH, Tsiotos GG, Sarr MG. J Am Coll Surg. 1999;188:643–648. - PubMed
Publication types
LinkOut - more resources
Full Text Sources