Technical Note: Tibial Spine Avulsion Treatment with Arthroscopic Reduction and Internal Fixation with Kirschner Wires in Skeletally Immature Patients
- PMID: 37685438
- PMCID: PMC10486765
- DOI: 10.3390/healthcare11172404
Technical Note: Tibial Spine Avulsion Treatment with Arthroscopic Reduction and Internal Fixation with Kirschner Wires in Skeletally Immature Patients
Abstract
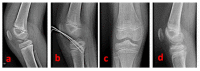
Introduction: Tibial spine avulsion injury, tibial eminence injury, tibial spine fracture, and anterior cruciate ligament (ACL) avulsion are multiple terms that express the same pathological condition. It can be encountered both in the pediatric and adult population. A wide array of surgical techniques have been proposed to manage displaced tibial spine avulsions. Anyway, insufficient evidence is currently available to prefer one fixation technique over another, and a gold-standard arthroscopy-based technique is still missing. In this article, we describe a mini-invasive, safe and user-friendly technique for arthroscopic reduction and internal fixation of displaced tibial eminence fractures.
Materials and methods: Standard and patient-specific accessory arthroscopic portals allow for full access to knee visualization and management of concomitant intraarticular lesions. After performing the debridement of the inflammatory tissue and the release of eventual interposed tissues in the fracture site, the tibial eminence avulsion can be reduced by using a less-invasive bone impactor. With the knee flexed to 90°, the fracture fragments are then synthesized (under fluoroscopic control) with three thin Kirschner wires inserted in a proximal-distal direction in a cross-shaped geometry.
Results: This technique allows a fast surgical and hospitalization time, a punctiform arthrotomy, proximal tibial physis preservation, and an early rehabilitation program.
Conclusions: This novel technique seems attractive and very promising since it is respectful of the epiphyseal growth plates and is thus suitable for children and adolescents.
Keywords: anterior cruciate ligament; arthroscopy; osteosynthesis; tibial eminence fracture; tibial spine fracture.
Conflict of interest statement
Each author declares that they have no commercial associations (e.g., consultancies, stock ownership, equity interest, patent/licensing arrangement, etc.) that might pose a conflict of interest in connection with the submitted article.
Figures
References
LinkOut - more resources
Full Text Sources
