Therapeutic effect of bromelain and papain on intestinal injury induced by indomethacin in male rats
- PMID: 37692988
- PMCID: PMC10484068
Therapeutic effect of bromelain and papain on intestinal injury induced by indomethacin in male rats
Abstract
Objectives: Inflammatory bowel diseases (IBDs) are a multiple inflammatory status in small intestines and colon. Bromelain and Papain were cysteine proteases enzymes extracted from pineapple and papaya, and possess antioxidant and anti-inflammatory characteristics. Therefore, this comparative work aimed to examine the anti-inflammatory and antioxidant effect of bromelain and papain in intestinal inflammation of rats and to evaluate the most potent effect of both types of enzymes.
Methods: Forty rats were used in this study (8 rats/group), G1: control group, G2: (Indo group) intestinal inflammation was induced by two doses of Indomethacin (7.5 mg/kg body weight) apart 24 h. G3: (Indomethacin + Bromelain) intestinal inflamed rats treated by oral dose of bromelain (1000 mg/kg/day). G4: (Indomethacin + Papain) intestinal inflamed rats treated by oral dose of papain (800 mg/kg/day). G5: (Indomethacin + Sulfasalazine) intestinal inflamed rats treated by oral dose of sulfasalazine (500 mg/kg/day). Oxidative stress and inflammatory markers were measured along with histological assessment.
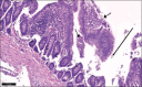
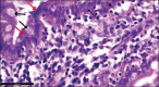
Results: Indomethacin-induced intestinal inflammation (in both Jejunum and Ileum) characterized by increased oxidative stress biomarkers: Xanthine oxidase, Catalase, Glutathione reductase, and Protein carbonyl and Inflammatory biomarkers: Tumor necrosis factor-α, Interleukin-10, Monocyte chemoattractant protein-1, Nuclear factor-kappa β, C-reactive protein, and Prostaglandin E2, as compared to control rats. On the other hand, administering either bromelain or Papain would effectively decrease symptoms of intestinal inflammation and modulate biomarkers of oxidative stress and pro-inflammatory cytokines.
Conclusion: Comparing results revealed that bromelain showed the most potent protective effect and possesses an apparent role in protection against the development of intestinal inflammation.
Keywords: Intestinal injury; bromelain; indomethacin; papain; sulfasalazine.
Copyright: © International Journal of Health Sciences.
Figures





References
-
- Dong J, Liang W, Wang T, Sui J, Wang J, Deng Z, et al. Saponins regulate intestinal inflammation in colon cancer and IBD. Pharmacol Res. 2019;144:66–72. - PubMed
-
- Wirtz S, Popp V, Kindermann M, Gerlach K, Weigmann B, Fichtner-Feigl S, et al. Chemically induced mouse models of acute and chronic intestinal inflammation. Nat Protoc. 2017;12:1295–309. - PubMed
LinkOut - more resources
Full Text Sources
Research Materials