An unusual case of disseminated cryptococcosis in an immunocompetent host presenting with verrucous skin lesions
- PMID: 37693214
- PMCID: PMC10482876
- DOI: 10.1016/j.mmcr.2023.100606
An unusual case of disseminated cryptococcosis in an immunocompetent host presenting with verrucous skin lesions
Abstract
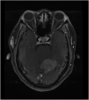
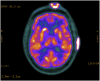
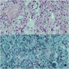
Disseminated cryptococcosis, commonly linked to immunocompromised conditions like HIV infection, is exceedingly rare in immunocompetent individuals. This case report presents a rare case of disseminated cryptococcosis in an immunocompetent patient, who manifested with fever, weight loss, neurological manifestations, and distinct verrucous skin lesions. Mycological cultures and histopathological assessments were conducted, leading to the identification of Cryptococcus neoformans var. gattii within both lung and skin biopsies. This case highlights the significance of considering this yeast infection within immunocompetent individuals and the necessity for promptly initiating appropriate antifungal therapy to enhance patient outcomes.
Keywords: Cryptococcus gattii; Disseminated cryptococcosis; Immunocompetent host; PET scan; Verrucous lesion.
© 2023 The Authors.
Figures




References
-
- Siqueira N.P., Favalessa O.C., Maruyama F.H., Dutra V., Nakazato L., Hagen F., et al. Domestic birds as source of Cryptococcus deuterogattii (AFLP6/VGII): potential risk for cryptococcosis. Mycopathologia. 2022 Feb;187(1):103–111. doi: 10.1007/s11046-021-00601-w. Epub 2021 Nov 11. PMID: 34762221; PMCID: PMC8807445. - DOI - PMC - PubMed
-
- Chen S.C., Slavin M.A., Heath C.H., Playford E.G., Byth K., Marriott D., et al. Australia and New Zealand Mycoses Interest Group (ANZMIG)-Cryptococcus Study. Clinical manifestations of Cryptococcus gattii infection: determinants of neurological sequelae and death. Clin. Infect. Dis. 2012 Sep;55(6):789–798. doi: 10.1093/cid/cis529. Epub 2012 Jun 5. PMID: 22670042. - DOI - PubMed
-
- Kwon-Chung K.J., Fraser J.A., Doering T.L., Wang Z., Janbon G., Idnurm A., et al. Cryptococcus neoformans and Cryptococcus gattii, the etiologic agents of cryptococcosis. Cold Spring Harb Perspect. Med. 2014 Jul 1;4(7) doi: 10.1101/cshperspect.a019760. PMID: 24985132; PMCID: PMC4066639. - DOI - PMC - PubMed
Publication types
LinkOut - more resources
Full Text Sources