See-through "C": Case series
- PMID: 37705560
- PMCID: PMC10497081
- DOI: 10.4103/jcd.jcd_322_23
See-through "C": Case series
Abstract
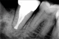
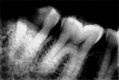
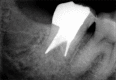
Successful endodontic treatment relies upon a thorough knowledge of root canal anatomical variations along with proper diagnosis, treatment planning, and clinical expertise. One of the difficult root canal configurations that are frequently encountered commonly in mandibular second molars is C-shaped root canal. Due to the intricate root canal configuration, it is often difficult to negotiate, debride, and obturate such canals leading to failure of root canal treatment. Understanding the anatomical variation and adequate visualization will enable the clinician to manage these cases effectively. Advanced irrigation and obturation techniques help in managing such anomalous canal configurations. This article presents the management of two different C-shaped root canal configurations under dental operating microscope using thermoplasticized obturation techniques.
Keywords: C-shaped canal; dental operating microscope; mineral trioxide aggregate; thermoplasticized obturation; ultrasonic irrigation; ultrasonic tip.
Copyright: © 2023 Journal of Conservative Dentistry and Endodontics.
Conflict of interest statement
There are no conflicts of interest.
Figures
 
              
              
              
              
                
                
                 
              
              
              
              
                
                
                 
              
              
              
              
                
                
                 
              
              
              
              
                
                
                 
              
              
              
              
                
                
                 
              
              
              
              
                
                
                 
              
              
              
              
                
                
                 
              
              
              
              
                
                
                 
              
              
              
              
                
                
                 
              
              
              
              
                
                
                 
              
              
              
              
                
                
                 
              
              
              
              
                
                
                 
              
              
              
              
                
                
                 
              
              
              
              
                
                
                 
              
              
              
              
                
                
                 
              
              
              
              
                
                
                References
- 
    - Jafarzadeh H, Wu YN. The C-shaped root canal configuration: A review. J Endod. 2007;33:517–23. - PubMed
 
- 
    - Cooke HG, 3rd, Cox FL. C-shaped canal configurations in mandibular molars. J Am Dent Assoc. 1979;99:836–9. - PubMed
 
- 
    - Cohen S, Hargreaves KM. Pathways of the Pulp. 9th ed. Mosby Elsevier; 2006. pp. 227–28.
 
- 
    - Manning SA. Root canal anatomy of mandibular second molars. Part II. C-shaped canals. Int Endod J. 1990;23:40–5. - PubMed
 
- 
    - Fan B, Cheung GS, Fan M, Gutmann JL, Bian Z. C-shaped canal system in mandibular second molars: Part I –Anatomical features. J Endod. 2004;30:899–903. - PubMed
 
Publication types
LinkOut - more resources
- Full Text Sources
