A Case of McLeod's Syndrome Presenting with Severe Decompensated Heart Failure
- PMID: 37720304
- PMCID: PMC10503528
- DOI: 10.14797/mdcvj.1164
A Case of McLeod's Syndrome Presenting with Severe Decompensated Heart Failure
Abstract
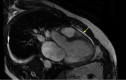
McLeod's syndrome (MLS) is an X-linked disorder caused by mutations in the XK gene with neurological manifestations as well as cardiomyopathy. This is a case of acute exacerbation of heart failure in a 44-year-old White male with a confirmed diagnosis of MLS, which was managed with guideline-directed medical therapy and placement of an implantable cardioverter defibrillator with recovery in ejection fraction.
Keywords: McLeod’s syndrome; guideline-directed medical therapy; implantable cardioverter defibrillator; late galodinium enhancement.
Copyright: © 2023 The Author(s).
Conflict of interest statement
The authors have no competing interests to declare.
Figures
References
- 
    - Jung HH, Danek A, Walker RH, Frey BM, Peikert K. McLeod Neuroacanthocytosis Syndrome. In: Adam MP, Ardinger HH, Pagon RA, et al., editors. GeneReviews. Seattle, WA: University of Washington; 1993-2023.
 
- 
    - Writing Committee; Maddox TM, Januzzi JL Jr., Allen LA, et al. 2021 Update to the 2017 ACC Expert Consensus Decision Pathway for Optimization of Heart Failure Treatment: Answers to 10 Pivotal Issues About Heart Failure With Reduced Ejection Fraction: A Report of the American College of Cardiology Solution Set Oversight Committee. J Am Coll Cardiol. 2021. Feb 16;77(6):772-810. doi: 10.1016/j.jacc.2020.11.022 - DOI - PubMed
 
Publication types
MeSH terms
Supplementary concepts
LinkOut - more resources
- Full Text Sources
- Medical
 
         
               
              