Comparing the outcomes of tripod technique and locked plate fixation for the treatment of Mason type 3 radial head fractures
- PMID: 37750278
- PMCID: PMC10546860
- DOI: 10.52312/jdrs.2023.1161
Comparing the outcomes of tripod technique and locked plate fixation for the treatment of Mason type 3 radial head fractures
Abstract
Objectives: In this study, we aimed to compare functional outcomes and complication rates of tripod technique and locked plate fixation used in Mason type 3 radial head fractures.
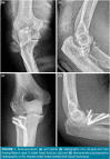
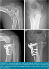
Patients and methods: Between January 2012 and December 2019, a total of 27 patients (16 males, 11 females; median age: 43.2 years; range, 20 to 68 years) with Mason type 3 radial head fractures were retrospectively analyzed. The patients were divided into two groups according to fixation method used. Group 1 consisted of 12 patients who were treated with tripod technique, and Group 2 consisted of 15 patients who were treated with locked plate fixation. Operation time, follow-up period, length of hospital stay, union time, Disabilities of Arm, Shoulder and Hand (DASH) scores, range of motions and complications were recorded.
Results: The median time to bone union was 46.7 days in Group 1, which was significantly shorter than Group 2 (p<0.001). The median forearm pronation-supination arc was 123.75° (range, 30° to 180°) in Group 1 and was 94° (range, 45° to 180°) in Group 2. There was no significant difference in the forearm rotation between the groups. The median elbow flexion-extension arc was 99.17° (range, 65° to 130°) in Group 1 and was 80.33° (range, 30° to 130°) in Group 2. No statistically significant difference was found in the flexion-extension and pronation-supination arc degrees. There was no significant difference in the postoperative DASH scores between the groups (p=0.464).
Conclusion: Our study results demonstrate that comparable results can be achieved in both techniques regarding functional outcome and range of motion. With a shorter union time and less complication rates, the tripod technique should be considered as the primary treatment method for the comminuted radial head fractures without a metaphyseal defect.
Conflict of interest statement
Figures


References
MeSH terms
LinkOut - more resources
Full Text Sources
Medical