Skip to main page content
U.S. flag

An official website of the United States government

Dot gov

The .gov means it’s official.
Federal government websites often end in .gov or .mil. Before sharing sensitive information, make sure you’re on a federal government site.

Https

The site is secure.
The https:// ensures that you are connecting to the official website and that any information you provide is encrypted and transmitted securely.

Access keys NCBI Homepage MyNCBI Homepage Main Content Main Navigation
Case Reports
. 2023 Aug 26;15(8):e44158.
doi: 10.7759/cureus.44158. eCollection 2023 Aug.

Large Water-Clear-Cell Parathyroid Adenoma: A Report of a Rare Case

Affiliations
Case Reports

Large Water-Clear-Cell Parathyroid Adenoma: A Report of a Rare Case

Olivia Durant et al. Cureus. .

Abstract

Water-clear-cell parathyroid adenomas are extremely rare tumors characterized by cells that contain clear, foamy cytoplasm. Here we report a case of a large water-clear-cell parathyroid adenoma in a 70-year-old male. The patient was presented to an outside hospital with severe abdominal pain and supporting CT imaging confirming a small bowel obstruction. Initial laboratory studies revealed hypercalcemia and elevated parathyroid hormone levels. Subsequent ultrasound imaging revealed a 2.7 × 2.1 cm neck mass suspicious for a parathyroid adenoma. A parathyroidectomy was performed, and microscopic evaluation revealed an expansile proliferation of cells with characteristic water-clear cell features. Although rare, water-clear-cell parathyroid adenomas are clinically indistinguishable from more common subtypes and should be considered in the differential diagnosis of an anterior neck mass.

Keywords: parathyroid disorder; parathyroid gland adenoma; parathyroid neoplasms; parathyroid pathology; water clear cell parathyroid adenoma.

PubMed Disclaimer

Conflict of interest statement

The authors have declared that no competing interests exist.

Figures

Figure 1
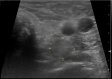
Figure 1. An ultrasound of the neck shows a solid area located lateral and inferior to the left thyroid gland.
Figure 2
Figure 2. Technetium-99m Sestamibi (MIBI) scan showed a significant increase in uptake after 3 hours.
Figure 3
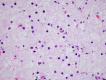
Figure 3. A low-power view outlining the parathyroid adenoma composed of predominantly clear cells; a small portion of residual non-neoplastic parathyroid tissue is seen, consisting predominately of chief cells (10×).
Figure 4
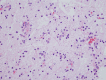
Figure 4. High-power view demonstrating water-clear cells with abundant clear cytoplasm and an overall bland architecture (40×).
Figure 5
Figure 5. High-power view illustrating characteristic features of large cells with optically clear cytoplasm and sharply outlined cell membranes with no significant pleomorphism or mitotic activity (60×).

References

    1. Incidence and prevalence of primary hyperparathyroidism in a racially mixed population. Yeh MW, Ituarte PH, Zhou HC, et al. J Clin Endocrinol Metab. 2013;98:1122–1129. - PMC - PubMed
    1. Clinical practice. Primary hyperparathyroidism. Marcocci C, Cetani F. N Engl J Med. 2011;365:2389–2397. - PubMed
    1. Pathology of the parathyroid glands. Van der Walt J. Diagn Histopathol. 2012;18:221–233.
    1. Parathyroid pathology. Guilmette J, Sadow PM. Surg Pathol Clin. 2019;12:1007–1019. - PMC - PubMed
    1. Oxyphil cell parathyroid adenomas causing primary hyperparathyroidism: a clinico-pathological correlation. Howson P, Kruijff S, Aniss A, et al. Endocr Pathol. 2015;26:250–254. - PubMed

Publication types

LinkOut - more resources